هزینه پروتز دندان در تبریز (راهنمای کامل قیمت ۱۴۰۴)
“دسترسی سریع به مطالب:”
- جدول جامع هزینه انواع پروتز دندان در تبریز (سال ۱۴۰۴)
- عوامل کلیدی موثر بر هزینه پروتز دندان در تبریز
- هزینه پروتز دندان شما صرف چه چیزی میشود؟
- بخش ویژه: هزینه روکش دندان در تبریز (پروتز ثابت)
- هزینه دندان مصنوعی در تبریز (پروتز متحرک)
- آیا هزینه پروتز دندان نزد متخصص در تبریز بیشتر است؟
- قیمت بریج دندان در تبریز (پل دندانی)
- آیا هزینه پروتز دندان نزد متخصص در تبریز بیشتر است؟
- سوال متداول (FAQ) درباره هزینه پروتز دندان در تبریز
زمان تقریبی مطالعه 5 دقیقه
شفافیت در هزینه بازسازی لبخند شما
از دست دادن دندانها، چه در اثر حادثه، چه پوسیدگی یا افزایش سن، تجربهای است که مستقیماً بر کیفیت زندگی، از توانایی جویدن گرفته تا اعتماد به نفس، تأثیر میگذارد. خوشبختانه، دندانپزشکی مدرن با علم “پروتز دندان” راهحلهای متنوعی برای جایگزینی دندانهای از دست رفته ارائه میدهد. اما اولین و مهمترین دغدغه مراجعین، شفافیت در مورد هزینههاست. سوالاتی مانند: “هزینه پروتز دندان در تبریز چقدر است؟”، “قیمت یک واحد روکش چقدر تمام میشود؟” یا “هزینه یک دست دندان مصنوعی کامل چقدر است؟”
قیمت پروتز دندان در تبریز یک عدد ثابت نیست؛ بلکه طیفی از هزینههاست که به نوع پروتز (ثابت یا متحرک)، جنس مواد سازنده (مانند زیرکونیا یا آکریل) و پیچیدگی درمان بستگی دارد.
در این راهنمای جامع و کامل، ما به عنوان یکی از مراکز تخصصی پروتز دندان در تبریز، قصد داریم به تمام سوالات مالی شما پاسخ دهیم. ما به صورت تفکیک شده هزینه روکش دندان در تبریز، هزینه دندان مصنوعی در تبریز و قیمت بریج دندان در تبریز را بررسی خواهیم کرد تا شما با آگاهی کامل و دیدی باز، برای این سرمایهگذاری مهم بر روی سلامت و زیبایی خود تصمیم بگیرید.
جدول جامع هزینه انواع پروتز دندان در تبریز (سال ۱۴۰۴)

برای شروع، در جدول زیر یک دید کلی و خلاصه از بازه قیمتی انواع پروتزهای دندانی در تبریز ارائه شده است. این قیمتها تقریبی بوده و هزینه نهایی پس از معاینه حضوری توسط متخصص پروتز دندان در تبریز مشخص میگردد.
| نوع اصلی پروتز | نام درمان | جنس رایج | میانگین بازه قیمتی (تومان) در تبریز |
|---|---|---|---|
| پروتز ثابت | روکش دندان (Crown) | سرامیکی (PFM) | ۳,۵۰۰,۰۰۰ تا ۵,۵۰۰,۰۰۰ (برای هر واحد) |
| پروتز ثابت | روکش زیرکونیا (All-Ceramic) | زیرکونیوم (بدون فلز) | ۶,۰۰۰,۰۰۰ تا ۱۰,۰۰۰,۰۰۰ (برای هر واحد) |
| پروتز ثابت | بریج دندان (Bridge) | سرامیکی یا زیرکونیا | (هزینه هر واحد روکش × تعداد پایهها و دندانهای غایب) |
| پروتز متحرک | دندان مصنوعی پارسیل (تکهای) | آکریلی یا کروم کبالت | ۷,۰۰۰,۰۰۰ تا ۲۰,۰۰۰,۰۰۰ (برای هر فک) |
| پروتز متحرک | دندان مصنوعی کامل (دست دندان) | آکریلی (برندهای مختلف) | ۱۵,۰۰۰,۰۰۰ تا ۳۵,۰۰۰,۰۰۰ (برای هر فک) |
| پروتز متحرک | پروتز بر پایه ایمپلنت (اوردنچر) | اتصال به ۲ یا ۴ ایمپلنت | (هزینه ایمپلنت + هزینه پروتز) |
عوامل کلیدی موثر بر هزینه پروتز دندان در تبریز
چرا قیمت پروتز دندان در تبریز در کلینیکهای مختلف متفاوت است؟ درک این عوامل به شما کمک میکند تا ارزش واقعی خدماتی که دریافت میکنید را بسنجید:
الف: تخصص دندانپزشک (متخصص پروتز در مقابل دندانپزشک عمومی)
این مهمترین عامل است. ساخت پروتز (به خصوص روکشهای زیبایی و دست دندان) ترکیبی از علم و هنر است. متخصص پروتز دندان در تبریز (پروستودنتیست) دندانپزشکی است که ۳ تا ۴ سال پس از دوره عمومی، به صورت تخصصی بر روی بازسازی روابط فکی، زیبایی و ساخت انواع پروتز آموزش دیده است. هزینه پروتز دندان نزد متخصص در تبریز ممکن است بالاتر باشد، اما نتیجه نهایی از نظر زیبایی، راحتی و دوام، تضمین شده است.
ب: نوع و جنس مواد اولیه (زیرکونیا در مقابل PFM)
کیفیت مواد اولیه مستقیماً بر قیمت، زیبایی و ماندگاری پروتز شما تأثیر میگذارد.
برای پروتز ثابت: قیمت روکش زیرکونیا در تبریز به دلیل زیبایی بینظیر (بدون فلز) و تکنولوژی ساخت پیشرفته، گرانتر از روکشهای قدیمی PFM (فلزی-سرامیکی) است.
برای پروتز متحرک: قیمت دست دندان در تبریز به جنس دندانهای مصنوعی (آلمانی یا ایتالیایی در مقابل چینی) و نوع آکریل لثه بستگی دارد.
ج: هزینه لابراتوار دندانپزشکی
پروتزهای ثابت و متحرک در لابراتوار ساخته میشوند. یک کلینیک تخصصی پروتز دندان در تبریز با لابراتوارهای درجه یک که از تکنسینهای ماهر و مواد باکیفیت استفاده میکنند، همکاری میکند. این امر هزینه تمام شده را افزایش میدهد، اما نتیجه نهایی بسیار دقیقتر و زیباتر خواهد بود.
د: پیچیدگی درمان و نیازهای جانبی
گاهی قبل از ساخت پروتز، نیاز به درمانهای جانبی است. برای مثال، دندانی که قرار است روکش شود، ممکن است ابتدا نیاز به “درمان ریشه (عصبکشی)” یا “پست و کور (بازسازی تاج)” داشته باشد. این درمانها هزینههای جداگانهای دارند.

هزینه پروتز دندان شما صرف چه چیزی میشود؟
این نمودار به صورت بصری نشان میدهد که مبلغی که شما برای یک پروتز باکیفیت (مانند روکش زیرکونیا) پرداخت میکنید، چگونه بین بخشهای مختلف تقسیم میشود.

بخش ویژه: هزینه روکش دندان در تبریز (پروتز ثابت)
روکش دندان (Crown) یک کلاهک محافظ است که به طور کامل روی دندان آسیبدیده قرار میگیرد تا آن را بازسازی و محافظت کند. هزینه روکش دندان در تبریز مستقیماً به جنس آن بستگی دارد.
الف: هزینه روکش PFM (فلزی-سرامیکی) در تبریز
چیست؟ اینها روکشهای سنتی با یک هسته فلزی و یک لایه رویی سرامیکی هستند.
مزایا: استحکام خوب، هزینه کمتر.
معایب: زیبایی متوسط، ایجاد لبه و سایه تیره فلزی در خط لثه.
بازه قیمتی: معمولاً بین ۳,۵۰۰,۰۰۰ تا ۵,۵۰۰,۰۰۰ تومان برای هر واحد.
ب: قیمت روکش زیرکونیا در تبریز (All-Ceramic)
چیست؟ مدرنترین نوع روکش. یک روکش سرامیکی دندان در تبریز که به طور کامل از بلوکهای زیرکونیوم (بدون هیچ فلزی) ساخته میشود.
مزایا: زیبایی و شفافیت بینظیر (مشابه دندان طبیعی)، عدم ایجاد لبه تیره در لثه، استحکام فوقالعاده (مناسب دندانهای عقب)، سازگاری کامل با لثه.
معایب: هزینه بالاتر.
بازه قیمتی: قیمت روکش زیرکونیا در تبریز معمولاً بین ۶,۰۰۰,۰۰۰ تا ۱۰,۰۰۰,۰۰۰ تومان برای هر واحد است.
| ویژگی | روکش PFM (فلزی-سرامیکی) | روکش زیرکونیا (پیشنهاد ما) | روکش ایمکس (Emax) |
|---|---|---|---|
| زیبایی | متوسط (لبه تیره فلزی) | عالی (بدون فلز) | بینظیر (شفافیت بالا) |
| استحکام | بالا | فوقالعاده بالا | خوب (بیشتر برای دندان جلو) |
| سازگاری با لثه | متوسط | عالی | عالی |
| هزینه در تبریز | مقرونبهصرفه | بالا | بسیار بالا |
| کاربرد اصلی | دندانهای عقب (اقتصادی) | دندانهای جلو و عقب | دندانهای جلو (لمینت) |
در کلینیک دکتر رئوف، ما برای دستیابی به حداکثر زیبایی و دوام، استفاده از روکش زیرکونیا در تبریز را به عنوان استاندارد درمانی توصیه میکنیم.
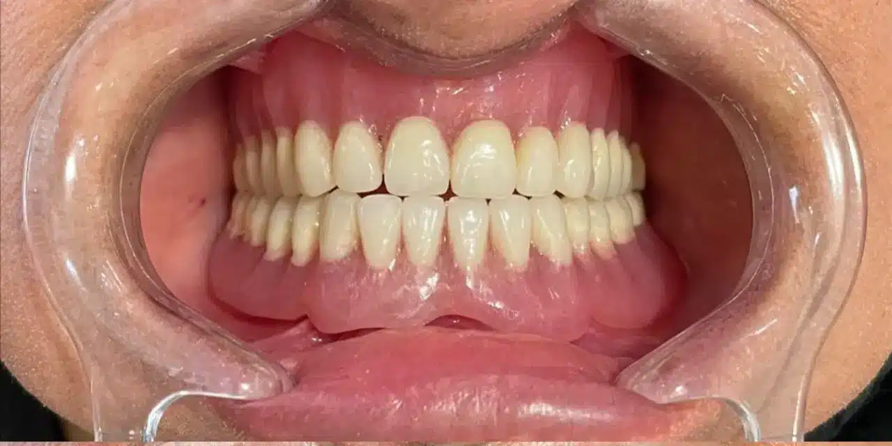
هزینه دندان مصنوعی در تبریز (پروتز متحرک)
دندان مصنوعی یا پروتز متحرک، راهحلی مقرونبهصرفه برای جایگزینی تعداد زیاد یا تمام دندانهاست. هزینه دندان مصنوعی در تبریز به کامل یا تکهای بودن آن و جنس مواد بستگی دارد.
الف: قیمت دست دندان کامل (Full Denture) در تبریز
چیست؟ برای افرادی که تمام دندانهای یک فک را از دست دادهاند. عوامل مؤثر بر قیمت: قیمت دست دندان در تبریز به شدت به کیفیت دندانهای مصنوعی پیشساخته (برندهای آلمانی، ایتالیایی یا ژاپنی گرانتر و طبیعیتر هستند) و نوع آکریل (لثه) بستگی دارد. بازه قیمتی: هزینه دندان مصنوعی کامل (برای هر فک) در تبریز میتواند از ۱۵,۰۰۰,۰۰۰ تا ۳۵,۰۰۰,۰۰۰ تومان متغیر باشد.
ب: هزینه پروتز پارسیل (تکهای) در تبریز
چیست؟ برای افرادی که تعدادی از دندانها را از دست دادهاند و تعدادی دندان سالم دارند. انواع و هزینهها: پروتز پارسیل آکریلی (فلیپر): راهحل اقتصادیتر و گاهی موقت. هزینه کمتری دارد. پروتز پارسیل کروم-کبالت: دارای اسکلت فلزی بسیار نازک و مستحکم است. گرانتر اما بسیار راحتتر و بادوامتر است. بازه قیمتی: هزینه پروتز متحرک در تبریز (نوع پارسیل) معمولاً بین ۷,۰۰۰,۰۰۰ تا ۲۰,۰۰۰,۰۰۰ تومان است.

آیا هزینه پروتز دندان نزد متخصص در تبریز بیشتر است؟
بله، اما این یک “هزینه اضافی” نیست، بلکه “سرمایهگذاری” روی کیفیت است. متخصص پروتز دندان در تبریز زمان بسیار بیشتری را صرف قالبگیری دقیق، ثبت روابط فکی، انتخاب رنگ و فرم، و تنظیمات نهایی میکند. ساخت دست دندان توسط متخصص، پروتزی را به شما تحویل میدهد که گیرایی عالی دارد، لثه را زخم نمیکند و ظاهری طبیعی دارد. پرداخت بهترین قیمت پروتز دندان در تبریز به معنای پرداخت هزینهای است که در بلندمدت شما را از ترمیمهای مکرر بینیاز میکند.
قیمت بریج دندان در تبریز (پل دندانی)
بریج دندان یا پروتز ثابت، راهحلی برای پر کردن جای خالی یک یا دو دندان با تکیه بر دندانهای مجاور است.
نحوه محاسبه قیمت بریج دندان در تبریز
یک تصور اشتباه رایج این است که شما فقط هزینه دندان جایگزین را میپردازید. اما هزینه پل دندانی در تبریز بر اساس تعداد واحدهای روکش محاسبه میشود.
مثال: برای پر کردن جای خالی ۱ دندان، نیاز به تراش ۲ دندان مجاور (به عنوان پایه) است. در این حالت، یک پل ۳ واحدی ساخته میشود.
فرمول هزینه: هزینه بریج = تعداد واحدهای روکش × هزینه هر واحد روکش
مثال عملی: اگر قیمت هر واحد روکش زیرکونیا در تبریز ۸ میلیون تومان باشد، هزینه یک بریج ۳ واحدی، ۲۴ میلیون تومان (۳ × ۸ میلیون) خواهد بود.

| ویژگی | بریج دندان (پروتز ثابت) | ایمپلنت دندان (جایگزین ریشه) |
|---|---|---|
| هزینه اولیه | متوسط (مثلاً هزینه ۳ واحد روکش) | بالا (هزینه ۱ واحد ایمپلنت + ۱ روکش) |
| آسیب به دندان مجاور | بله (۲ دندان سالم تراش میخورند) | خیر (کاملاً مستقل است) |
| جلوگیری از تحلیل استخوان | خیر | بله (ریشه مصنوعی استخوان را حفظ میکند) |
| طول عمر | ۷ تا ۱۵ سال | ۲۰+ سال (مادامالعمر) |
| هزینه بلندمدت | بالا (ریسک پوسیدگی پایهها، نیاز به تعویض) | مقرونبهصرفه (در صورت موفقیت، دائمی است) |
اگرچه قیمت بریج دندان در تبریز در ابتدا ممکن است کمتر از ایمپلنت به نظر برسد، اما با در نظر گرفتن حفظ دندانهای سالم و جلوگیری از تحلیل استخوان، ما معمولاً ایمپلنت دندان در تبریز را به عنوان بهترین سرمایهگذاری بلندمدت توصیه میکنیم.
آیا هزینه پروتز دندان نزد متخصص در تبریز بیشتر است؟
هزینه پروتز دندان در تبریز یک طیف گسترده از قیمتها را شامل میشود. از هزینه دندان مصنوعی در تبریز که راهحلی اقتصادی است تا هزینه روکش زیرکونیا که یک درمان زیبایی لوکس محسوب میشود. مهمترین نکته این است که پروتز دندان مستقیماً با سلامت، تغذیه و اعتماد به نفس شما در ارتباط است. انتخاب بهترین متخصص پروتز دندان در تبریز و استفاده از مواد باکیفیت، تضمین میکند که لبخند و توانایی جویدن شما برای سالهای طولانی بازگردد.
برای دریافت مشاوره رایگان، بررسی دقیق شرایط و اطلاع از هزینه دقیق پروتز دندان متناسب با نیازهای شما، همین امروز با کلینیک تخصصی ما در تبریز تماس بگیرید یا به صفحه خدمات پروتز دندان در تبریز مراجعه کنید.
سوال متداول (FAQ) درباره هزینه پروتز دندان در تبریز
قیمت پروتز دندان در تبریز بسیار متغیر است. هزینه دندان مصنوعی در تبریز (متحرک) میتواند از حدود ۱۵ میلیون تومان برای یک فک شروع شود، در حالی که هزینه روکش دندان در تبریز (ثابت) از حدود ۳.۵ میلیون تومان برای هر واحد آغاز میگردد.
اصلیترین عامل، جنس روکش است. قیمت روکش زیرکونیا در تبریز (که تمام سرامیک و بدون فلز است) به دلیل زیبایی و تکنولوژی ساخت، گرانتر از روکشهای PFM (فلزی-سرامیکی) است که لبه تیره فلزی دارند.
قیمت دست دندان در تبریز بر اساس هر فک (کامل) یا بر اساس تعداد دندانها (پارسیل) محاسبه میشود. کیفیت مواد (جنس دندانهای آلمانی در مقابل چینی) و تخصص متخصص پروتز دندان در تبریز، تأثیر مستقیمی بر هزینه نهایی دارد.
هزینه پل دندانی در تبریز بر اساس تعداد واحدهای روکش محاسبه میشود، نه فقط دندان خالی. برای مثال، برای پر کردن جای ۱ دندان، ۲ دندان کناری تراش میخورند و هزینه یک بریج ۳ واحدی از شما دریافت میشود (هزینه ۳ عدد روکش).
قیمت پروتز دندان توسط متخصص (پروستودنتیست) ممکن است ۲۰ تا ۴۰ درصد بالاتر باشد. این تفاوت هزینه به دلیل ۳ تا ۴ سال تحصیلات تخصصی بیشتر، دقت بالاتر در قالبگیری و تنظیم روابط فکی، و استفاده از مواد و لابراتوارهای باکیفیتتر است.
روکش سرامیکی انواع مختلفی دارد. روکشهای PFM (با پایه فلزی) ارزانتر هستند. اما قیمت روکش زیرکونیا (تمام سرامیک) که بهترین نوع از نظر زیبایی و استحکام است، در تبریز از حدود ۶ تا ۱۰ میلیون تومان برای هر واحد متغیر است.
لزوماً خیر. گاهی اوقات ساخت یک پروتز پارسیل (تکهای) باکیفیت که دارای اسکلت فلزی (کروم-کبالت) و اتصالات دقیق باشد، میتواند به اندازه یا حتی گرانتر از یک دست دندان کامل آکریلی ساده باشد.
برای جایگزینی یک دندان، هزینه اولیه یک بریج ۳ واحدی ممکن است کمتر یا برابر با هزینه یک واحد ایمپلنت باشد. اما در بلندمدت، ایمپلنت به دلیل عدم آسیب به دندانهای مجاور و طول عمر بالاتر، اقتصادیتر است.
بهترین قیمت لزوماً “ارزانترین” نیست. ارزانترین هزینه دندان مصنوعی ممکن است به معنای قالبگیری نادرست و زخم شدن لثه باشد. بهترین قیمت، هزینهای منصفانه در ازای دریافت خدمات از متخصص پروتز دندان در تبریز و استفاده از مواد باکیفیت است.
خیر. هزینه روکش دندان در تبریز جدا از هزینههای درمانهای جانبی است. اگر دندان شما قبل از روکش نیاز به عصبکشی (درمان ریشه) یا بازسازی با پُست داشته باشد، هزینههای آن جداگانه محاسبه خواهد شد.