کامپوزیت دندان در تبریز | اصلاح طرح لبخند فوری و اقتصادی
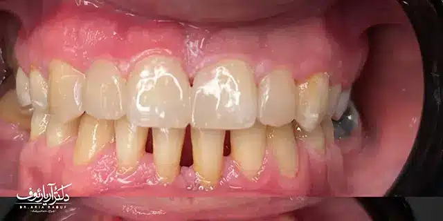
کامپوزیت دندان در تبریز؛ خلق لبخندی هالیوودی تنها در یک جلسه آیا به دنبال راهی سریع، مؤثر و مقرونبهصرفه برای زیباتر کردن لبخند خود هستید؟ ونیر کامپوزیت محبوبترین درمان دندانپزشکی زیبایی است که به شما اجازه میدهد تنها در یک جلسه چند ساعته، با لبخندی نامرتب وارد کلینیک شوید و با لبخندی یکدست، سفید و درخشان خارج شوید! این روش معجزهآسا، گزینهای ایدهآل برای اصلاح رنگ، فرم بد دندانها، بستن فاصله (دیاستم) و ترمیم شکستگیهای جزئی است.
در مطب دکتر آریا رئوف، ما کامپوزیت را یک “هنر” میدانیم. ما با استفاده از تکنیک لایهگذاری (Layering) و برترین برندهای نانوسرامیک جهان، لبخندی کاملاً طبیعی و هماهنگ با چهره شما خلق میکنیم. همچنین با ارائه شرایط کامپوزیت دندان اقساطی در تبریز، مسیر شما را برای رسیدن به لبخند رویاییتان هموار کردهایم.
چرا دکتر آریا رئوف، بهترین انتخاب برای کامپوزیت دندان در تبریز است؟
ونیر کامپوزیتی بیش از هر چیز به مهارت، دقت و دید هنری دندانپزشک بستگی دارد. اگر به دنبال بهترین دکتر کامپوزیت در تبریز هستید، ما با افتخار دلایل زیر را برای انتخاب کلینیک خود به شما ارائه میدهیم:
- هنر و مهارت دست: فرمدهی کامپوزیت یک هنر است. دکتر آریا رئوف،✅متخصص دندانپزشکی در تبریز با سالها تجربه، با ظرافت لایههای کامپوزیت را فرم میدهند تا نتیجهای کاملاً طبیعی و زیبا خلق شود.
- بهترین برندهای کامپوزیت: ما تنها از کامپوزیتهای نانوسرامیک برتر (ژاپنی و آلمانی) استفاده میکنیم که بالاترین سطح از استحکام، پالیشپذیری و ثبات رنگ را دارند.
- تکنیک لایهبندی پیشرفته: ما با استفاده از تکنیک لایهبندی (Layering) و به کار بردن رنگهای مختلف کامپوزیت، شفافیتی کاملاً مشابه با مینای دندان طبیعی ایجاد میکنیم.
- حداقل تراش دندان: تعهد ما به حفظ سلامت دندانهای شماست. در این روش، معمولاً هیچ تراشی روی دندان انجام نمیشود یا تراش در حد کاملاً حداقلی خواهد بود.
تفاوت لمینت و کامپوزیت چیست؟ (کدام برای شما بهتر است؟)
این یکی از رایجترین سوالات مراجعین ماست. انتخاب بین این دو به اولویتهای شما (هزینه، زمان و ماندگاری) بستگی دارد:
- زمان درمان: ونیر کامپوزیت تنها در یک جلسه تمام میشود، اما لمینت سرامیکی نیازمند حداقل دو جلسه و فرآیند لابراتواری است.
- هزینه: هزینه ونیر کامپوزیت در تبریز به مراتب اقتصادیتر و پایینتر از لمینت سرامیکی است.
- دوام و طول عمر: لمینت سرامیکی دوام و مقاومت بیشتری در برابر شکستگی و تغییر رنگ دارد. در این رابطه میتوانید با مطالعه مقاله✅راهنمای کامل مراقبت و افزایش طول عمر لمینت دندان طول عمر لمینت های خود رو افزایش دهید.ماندگاری ونیر کامپوزیت کمتر است و نیاز به پالیش دورهای دارد.
- قابلیت ترمیم: کامپوزیت در صورت لبپر شدن به راحتی در مطب قابل ترمیم است، اما لمینت سرامیکی باید به طور کامل تعویض شود.
برای اینکه بدانید کامپوزیت بهتر است یا لمینت برای شما، یک جلسه مشاوره تخصصی بهترین راهنما خواهد بود.
|
ویژگی کلیدی |
ونیر کامپوزیت (انتخاب اقتصادی و سریع) |
لمینت سرامیکی (انتخاب لوکس و بادوام) |
|---|---|---|
|
هزینه |
✅ اقتصادی و مقرونبهصرفه |
بالا |
|
سرعت درمان |
✅ فقط در یک جلسه |
حداقل ۲ جلسه (نیاز به لابراتوار) |
|
نیاز به تراش |
✅ حداقل تراش (یا بدون تراش) |
معمولاً نیاز به تراش دارد |
|
ماندگاری |
متوسط (۵ تا ۱۰ سال) |
✅ بسیار بالا (۱۰ تا ۲۰ سال) |
|
ثبات رنگ |
متوسط (نیاز به پالیش دورهای) |
✅ عالی (مقاوم در برابر لک) |
|
قابلیت ترمیم |
✅ آسان (در مطب) |
دشوار (نیاز به تعویض واحد) |
👈 راهنمای کامل: ما یک مقاله جامع و کامل داریم که تمام این تفاوتها را به صورت تخصصی بررسی کرده است. برای تصمیمگیری آگاهانه، حتماً مقاله ✅[ تفاوت لمینت و کامپوزیت] را مطالعه کنید.
گالری نمونهکارهای ونیر کامپوزیتی
مشاهده نتایج درخشان و فوری، بهترین راه برای درک قدرت ونیر کامپوزیتی است. در این بخش شما را به تماشای ✅ گالری نمونه کارهای دندانپزشکی در تبریز لبخندهای زیبایی که تنها در یک جلسه خلق کردهایم، دعوت میکنیم.
کیس درمانی: بازسازی کامل لبخند با جراحی لثه و لمینت سرامیکی
بیمار عزیزمان با ونیرهای کامپوزیتی قدیمی مراجعه کردند که هم از نظر زیبایی ظاهری نامناسب بودند و هم باعث ایجاد فرم لثه نامتقارن شده بودند. در قدم اول، کامپوزیتهای قبلی به طور کامل حذف شدند. سپس برای ایجاد بستری ایدهآل، جراحی زیبایی لثه انجام شد تا خط لثهها کاملاً قرینه شده و طول دندانها برای لبخندی زیباتر، افزایش یابد. پس از یک ماه دوره بهبودی، اسکن دیجیتال برای ساخت لمینتهای سرامیکی انجام گرفت. رنگ نهایی (B1) بر اساس سن، جنسیت و رنگ پوست بیمار انتخاب شد و با ایجاد لبههای شفاف و ظریف، نمایی کاملاً طبیعی و بینقص برای لبخند ایشان خلق گردید.


کیس درمانی: ارتقاء زیبایی لبخند با تعویض کامپوزیتهای قدیمی
این بیمار عزیزمان از نمای کامپوزیتهای قبلی خود که پس از مدتی دچار تغییر رنگ و فرم نازیبا شده بودند، ناراضی بودند. پس از مشاوره، بهترین راه حل برای دستیابی به یک نتیجه باثبات، ماندگار و بسیار زیباتر، تعویض آنها با ۶ واحد لمینت سرامیکی انتخاب شد. ما با طراحی لمینتهایی کاملاً همرنگ با سایر دندانها، توانستیم زیبایی و درخشش طبیعی را دوباره به لبخند ایشان بازگردانیم.


کیس درمانی: بازطراحی کامل لبخند با جراحی لثه و لمینتهای
در این کیس پیچیده، درمان با حذف کامل کامپوزیتهای قدیمی که باعث التهاب و فرم نامناسب لثه شده بودند، آغاز شد. در مرحله بعد، برای ایجاد یک بستر سالم و زیبا، جراحی لثه جهت اصلاح خط لثه و افزایش طول تاج دندانها انجام گرفت. پس از دوره بهبودی، درمان نهایی با لمینتهای سرامیکی به رنگ A1 (یکی از طبیعیترین و محبوبترین رنگها) تکمیل شد تا لبخندی کاملاً جدید، هماهنگ و درخشان برای بیمار عزیزمان خلق شود.


کیس درمانی: تعویض کامپوزیتهای قدیمی با لمینتهای سرامیکی
بیمار عزیزمان از ظاهر و رنگ کامپوزیتهای قدیمی خود که شفافیت لازم را نداشتند و دچار رنگپذیری شده بودند، ناراضی بودند. پس از حذف کامل مواد قدیمی از روی دندانها، طرح لبخند جدیدی برای ایشان طراحی شد. در نهایت، با استفاده از لمینتهای سرامیکی به رنگ B1 - که یکی از سفیدترین و در عین حال طبیعیترین رنگها در دندانپزشکی زیبایی است - لبخندی درخشان، جوان و کاملاً یکدست برای ایشان خلق گردید.


گالری نمونهکارهای کامپوزیت دندان | دکتر آریا رئوف
اعتماد شما، بزرگترین سرمایه ماست. ما با افتخار بخشی از نتایج درخشان مراجعین خود را که در صفحه اینستاگرام دکتر آریا رئوف نیز به اشتراک گذاشته شده، در اینجا به نمایش میگذاریم تا شاهد تاثیر شگفتانگیز ایمپلنت بر زیبایی و کیفیت زندگی باشید.
اصلاح طرح لبخند در تبریز تنها در یک جلسه
بزرگترین مزیت ونیر کامپوزیت، سرعت شگفتانگیز آن است. برخلاف لمینت سرامیکی که نیازمند حداقل دو جلسه و فرآیند لابراتواری است، تمام مراحل کامپوزیت دندان در یک جلسه انجام میشود. شما صبح با لبخند قدیمی خود وارد کلینیک میشوید و بعدازظهر با یک اصلاح طرح لبخند کامل و لبخندی جدید خارج میشوید. این درمان برای افرادی که برای مراسم یا رویداد خاصی عجله دارند، یا به سادگی نمیخواهند درگیر درمانهای طولانیمدت شوند، بهترین انتخاب ممکن است.
چرا ونیر کامپوزیت در تبریز محبوب است؟
محبوبیت روزافزون ونیر کامپوزیت در تبریز دلایل مختلفی دارد. این نمودار نشان میدهد که چرا اکثر مراجعین ما این روش را انتخاب میکنند:
دلایل اصلی انتخاب ونیر کامپوزیت
- ۴۰٪ - هزینه اقتصادی و مقرونبهصرفه
- ۳۰٪ - درمان سریع (فقط در یک جلسه)
- ۲۰٪ - حداقل تراش دندان (حفظ دندان)
- ۱۰٪ - قابلیت ترمیم آسان (نگهداری کمهزینه)
کاربردهای ونیر کامپوزیت: از کامپوزیت دندان جلو تا بستن فاصله
ونیر کامپوزیت یک راهحل همهکاره برای طیف وسیعی از مشکلات زیبایی است. متخصص کامپوزیت دندان در تبریز میتواند از این ماده برای موارد زیر استفاده کند:
اصلاح رنگ و سفید کردن: بهترین راه برای اصلاح دندانهایی که دچار تغییر رنگ شدهاند و به بلیچینگ پاسخ نمیدهند.
کامپوزیت دندان جلو در تبریز: برای ترمیم شکستگیها، لبپریدگیها یا سایش لبه دندانهای قدامی.
بستن فاصله بین دندان با کامپوزیت (دیاستم): راه حلی سریع و بدون نیاز به ارتودنسی برای بستن فاصلههای جزئی تا متوسط بین دندانها.
اصلاح فرم و اندازه: بلندتر کردن دندانهای کوتاه، گرد کردن گوشههای تیز، یا یکدست کردن دندانهایی که فرم نامتقارن دارند.
هزینه و شرایط کامپوزیت دندان اقساطی در تبریز
یکی از بزرگترین مزایای ونیر کامپوزیت، قیمت اقتصادی آن نسبت به لمینت است. هزینه نهایی به تعداد دندانها و برند ماده کامپوزیتی (ژاپنی، آلمانی یا سوئیسی) بستگی دارد.
ما در کلینیک دکتر آریا رئوف، برای رفاه حال شما، شرایط ویژهای را برای کامپوزیت دندان اقساطی در تبریز فراهم کردهایم. شما میتوانید با پرداخت یک مبلغ به عنوان پیشپرداخت، مابقی شرایط پرداخت هزینه کامپوزیت را به صورت اقساط ماهانه و منعطف پرداخت نمایید.
👈 راهنمای کامل هزینه: برای اطلاع دقیق از قیمت هر واحد و جزئیات کامل عواملی که بر هزینه نهایی تاثیر میگذارند، توصیه میکنیم مقاله جامع ما در مورد ✅ هزینه کامپوزیت دندان در تبریز را مطالعه کنید.
چرا دکتر آریا رئوف، بهترین دکتر کامپوزیت در تبریز است؟
نتیجه نهایی ونیر کامپوزیت، بیش از هر چیز به هنر و مهارت دندانپزشک شما بستگی دارد. اگر به دنبال بهترین دکتر کامپوزیت در تبریز هستید، باید بدانید که تخصص، دید هنری و تعهد به رضایت بیمار، اصول اصلی ما در کلینیک دکتر رئوف هستند. ما مفتخریم که با ارائه ویژگیهای زیر، انتخاب اول بسیاری از مراجعین عزیز بودهایم:
تخصص و هنر در طراحی لبخند: دکتر آریا رئوف به عنوان متخصص کامپوزیت دندان در تبریز، با ترکیب علم دندانپزشکی و هنر زیباییشناسی، لایههای کامپوزیت را با ظرافت روی دندانهای شما فرم میدهند. هدف ما خلق یک لبخند طبیعی و منحصربهفرد است، نه دندانهای مصنوعی و فیک.
اصلاح طرح لبخند تنها در یک جلسه: ما برای وقت شما ارزش قائلیم. فرآیند کامل طراحی و اجرای ونیر کامپوزیت، از مشاوره اولیه تا لبخند نهایی شما، معمولاً در یک جلسه به پایان میرسد و شما با ظاهری جدید و اعتماد به نفسی بیشتر از کلینیک خارج میشوید.
تعهد به کیفیت و استفاده از بهترین مواد: ما معتقدیم کیفیت اتفاقی نیست. تعهد ما به نتیجه عالی، ما را ملزم به استفاده از برترین و ماندگارترین برندهای کامپوزیتی روز دنیا میکند تا زیبایی لبخند شما برای سالها تضمین شود.
تسهیل شرایط پرداخت هزینه کامپوزیت: ما باور داریم که همه شایسته داشتن لبخندی زیبا هستند. به همین دلیل، شرایط ویژهای برای کامپوزیت دندان اقساطی در تبریز فراهم کردهایم. شما میتوانید برای اطلاع از شرایط پرداخت هزینه کامپوزیت، در جلسه مشاوره رایگان با همکاران ما صحبت کنید.
ونیرهای کامپوزیتی میتوانند تنها در یک جلسه، لبخندی زیبا و یکدست به شما هدیه دهند. اما ماندگاری این زیبایی و درخشش، ارتباط مستقیمی با نحوه مراقبت شما دارد. عادات روزمره مانند استفاده از دندانها به عنوان ابزار، شکستن خوراکیهای سفت و مصرف زیاد نوشیدنیهای رنگی، نقش کلیدی در جلوگیری از لبپریدگی، شکستگی یا تغییر رنگ کامپوزیتها ایفا میکند. برای اینکه با تمام جزئیات این موضوع آشنا شوید، توصیه میکنیم مقاله جامع ما در مورد👈 ۱۰ نکته طلایی برای افزایش ماندگاری کامپوزیت دندان را مطالعه فرمایید.
آمادهاید در یک جلسه لبخند خود را متحول کنید؟
آیا آمادهاید تا تنها در یک جلسه، ایرادات ظاهری دندانهای خود مانند رنگ، فرم یا فاصلههای جزئی را اصلاح کرده و با اعتماد به نفس کامل لبخند بزنید؟ تیم ما در کلینیک تخصصی دکتر آریا رئوف آماده پاسخگویی به تمام سوالات شما و ارائه یک طرح درمان زیبایی سریع و متناسب با بودجه شما است. برای دریافت نوبت مشاوره تخصصی و رایگان، همین امروز با ما ✅تماس بگیرید.
سوالات متداول شما درباره ونیر کامپوزیتی
1. هزینه ونیر کامپوزیت در تبریز چقدر است؟
قیمت کامپوزیت دندان به ازای هر واحد (هر دندان) محاسبه میشود و به عواملی مانند برند و کیفیت مواد کامپوزیتی و میزان پیچیدگی طرح درمان بستگی دارد. به طور کلی، ✅هزینه ونیر کامپوزیت در تبریز به مراتب اقتصادیتر و مقرونبهصرفهتر از لمینت سرامیکی است. برای اطلاع از هزینه دقیق، میتوانید در یک جلسه مشاوره رایگان شرکت کنید.
2. تفاوت اصلی لمینت و کامپوزیت چیست؟ کدام برای من بهتر است؟
این مهمترین سوال در انتخاب بین این دو درمان زیبایی است. به طور خلاصه: ونیر کامپوزیت در یک جلسه، با هزینه کمتر و معمولاً بدون تراش دندان انجام میشود اما ثبات رنگ و دوام کمتری دارد. لمینت سرامیکی نیازمند فرآیند لابراتواری است، هزینه بالاتری دارد اما بسیار بادوامتر و مقاومتر در برابر تغییر رنگ است. اینکه کامپوزیت بهتر است یا لمینت برای شما، به اولویتهایتان (زمان، بودجه، ماندگاری) بستگی دارد که در جلسه مشاوره بررسی میشود.
3. ماندگاری ونیر کامپوزیت چقدر است؟
ماندگاری کامپوزیت دندان به طور میانگین بین ۵ تا ۸ سال است. این طول عمر به شدت به مراقبتهای بعد از کامپوزیت دندان توسط شما بستگی دارد. رعایت بهداشت، پرهیز از شکستن خوراکیهای سفت با دندانهای جلو و انجام پالیش دورهای سالیانه، به حفظ زیبایی و افزایش طول عمر آن کمک شایانی میکند.
4. مراحل انجام ونیر کامپوزیت چگونه است؟ آیا در یک جلسه تمام میشود؟
بله، یکی از بزرگترین مزایای این روش، تکمیل کامپوزیت دندان در یک جلسه است. مراحل انجام ونیر کامپوزیت شامل تمیز کردن سطح دندانها، قرار دادن مواد کامپوزیتی به صورت لایهلایه، فرمدهی هنرمندانه توسط دندانپزشک، سخت کردن آن با نور مخصوص و در نهایت، پالیش نهایی برای ایجاد درخشش و زیبایی است.
5. برای انتخاب بهترین دکتر کامپوزیت در تبریز به چه نکاتی توجه کنم؟
از آنجایی که ونیر کامپوزیت مستقیماً با هنر دست دندانپزشک ساخته میشود، انتخاب متخصص کامپوزیت دندان بسیار حیاتی است. برای یافتن بهترین دکتر کامپوزیت در تبریز، حتماً به گالری نمونهکارهای واقعی دکتر آریا رئوف، متخصص کامپوزیت دندان در تبریز، توجه به جزئیات و ظرافت در فرمدهی و توانایی او در ایجاد رنگی طبیعی و زیبا دقت کنید.
6. آیا کامپوزیت به دندان اصلی آسیب میزند؟
خیر. ونیر کامپوزیتی یکی از محافظهکارانهترین درمانهای زیبایی است. در این روش معمولاً هیچ تراشی به دندان داده نمیشود و مواد مستقیماً روی سطح دندان قرار میگیرند، بنابراین هیچ آسیبی به مینای دندان شما وارد نخواهد شد.
7. آیا امکان انجام کامپوزیت دندان اقساطی در تبریز در کلینیک شما وجود دارد؟
بله، ما در کلینیک دکتر آریا رئوف برای رفاه حال مراجعین عزیز، شرایط ویژهای را برای کامپوزیت دندان اقساطی در تبریز فراهم کردهایم. هدف ما این است که هزینهها مانعی برای رسیدن شما به لبخندی زیبا نباشد.
8. شرایط پرداخت هزینه کامپوزیت به چه صورت است؟
شرایط پرداخت هزینه کامپوزیت در کلینیک ما منعطف است. معمولاً بخشی از هزینه به عنوان پیشپرداخت دریافت شده و مابقی مبلغ طی چند قسط ماهانه، متناسب با طرح درمان و توافق طرفین، پرداخت میگردد. جزئیات کامل در جلسه مشاوره رایگان به شما ارائه خواهد شد.
9. هزینه نهایی کامپوزیت در جلسه اول مشخص میشود؟
بله، در همان جلسه مشاوره رایگان، پس از معاینه کامل دندانهای شما و انتخاب برند کامپوزیت، هزینه نهایی به صورت یک پکیج کامل و شفاف به شما اعلام میشود و هیچ هزینه پنهانی وجود نخواهد داشت.
10. کامپوزیت بهتر است یا لمینت؟ کدام از نظر هزینه در بلندمدت بهصرفهتر است؟
کامپوزیت هزینه اولیه بسیار کمتری نسبت به لمینت دارد. اما لمینت طول عمر و ثبات رنگ بیشتری دارد. انتخاب بین این دو به بودجه اولیه و سبک زندگی شما بستگی دارد که در جلسه مشاوره به طور کامل برایتان توضیح داده خواهد شد.
11. بهترین دکتر کامپوزیت در تبریز را چگونه انتخاب کنم؟
بهترین راه، مشاهده نمونهکارهای واقعی دندانپزشک، بررسی تخصص و تجربه او و همچنین داشتن یک جلسه مشاوره برای اطمینان از درک متقابل بین شما و پزشک است. با اطمینان خاطر میتوان گفت که یکی از بهترین دکتر کامپوزیت در تبریز، دکتر آریا رئوف، جراح | دندانپزشک است.
12. چگونه میتوانم برای مشاوره رایگان و اطلاع از شرایط دقیق کامپوزیت دندان اقساطی در تبریز نوبت بگیرم؟
شما میتوانید به راحتی از طریق دکمه 👈رزرو نوبت در همین صفحه اقدام کنید یا با 👈شماره تلفن کلینیک تماس بگیرید. همکاران ما آماده پاسخگویی به شما هستند.
ما در کلینیک دکتر آریا رئوف، علاوه بر کامپوزیت دندان، طیف وسیعی از خدمات تخصصی دیگر را نیز ارائه میدهیم. برای آشنایی با تمام راهکارهای درمانی و زیبایی ما، میتوانید به صفحه لیست کامل خدمات دندانپزشکی ما مراجعه فرمایید.
سلام آقای دکتر. من حدود ۴ سال پیش جای دیگه کامپوزیت کردم ولی الان یکیش لبپر شده و رنگ بقیهشون هم کمی کدر شده. آیا میشه همینارو ترمیم و پالیش کرد یا باید کلا عوض بشن؟
سلام آقای حمید عزیز. بله، این یکی از مزایای بزرگ ونیر کامپوزیتی است. در اکثر موارد، میتوان کامپوزیتهای قدیمی را ترمیم، لایهگذاری مجدد و پالیش کرد تا زیبایی و درخشش روز اول خود را بازیابند. البته، اگر آسیب زیاد باشد یا تغییر رنگ شدید باشد، گاهی تعویض کامل نتیجه بهتری خواهد داشت. برای یک ارزیابی دقیق و بررسی بهترین راه حل، میتوانید برای یک جلسه مشاوره رایگان به کلینیک ما در تبریز مراجعه کنید.
سلام. من دندونای خیلی نامرتب و شلوغی دارم. آیا با کامپوزیت میشه این مشکل رو کامل حل کرد؟ یا فقط برای مشکلات جزئی خوبه؟
سلام جناب. سوال بسیار مهمی است. ونیر کامپوزیت یک راهکار عالی برای اصلاحات جزئی تا متوسط در فرم و رنگ دندانهاست. اما برای مشکلات شدید نامرتبی و شلوغی دندانها، اصولیترین و بهترین درمان،ارتودنسی تخصصی است. ارتودنسی دندانهای شما را به جایگاه صحیح خود منتقل میکند. پس از اتمام دوره ارتودنسی، میتوانیم برای تکمیل زیبایی لبخند، از کامپوزیت یا لمینت استفاده کنیم.
سلام، من میخوام دندون هام خیلی سفید و هالیوودی بشه، آیا با کامپوزیت میشه به سفیدی رنگ های بلیچینگ یا لمینت برسه؟
سلام. بله، کامپوزیتها طیف رنگی بسیار وسیعی دارند، از رنگهای کاملاً طبیعی گرفته تا رنگهای بسیار سفید و درخشان (که به آنها رنگهای بلیچ یا هالیوودی گفته میشود). در جلسه طراحی لبخند، ما نمونه رنگها را به شما نشان میدهیم و با هم، بهترین و زیباترین رنگ را که با چهره شما هماهنگی داشته باشد، انتخاب میکنیم تا به نتیجه دلخواهتان برسید.
سلام آقای دکتر. واقعا کل فرآیند کامپوزیت دندان در یک جلسه انجام میشه؟ یعنی من صبح بیام، بعد از ظهر با لبخند جدید میرم؟
سلام. بله، دقیقاً همینطور است! این بزرگترین مزیت ونیر کامپوزیتی است. مراحل انجام ونیر کامپوزیت، از آمادهسازی دندانها گرفته تا فرمدهی هنرمندانه و پالیش نهایی، تماماً در یک جلسه چند ساعته در مطب انجام میشود و شما بلافاصله پس از اتمام کار، میتوانید از لبخند جدید خود لذت ببرید.
سلام. من فقط از رنگ دندونام ناراضیام و فرمشون خوبه. برای سفید کردن، کامپوزیت بهتر است یا بلیچینگ؟
سلام آقای نوید عزیز. این به هدف نهایی شما بستگی دارد. اگر فرم دندانهای شما خوب است و فقط میخواهید رنگ طبیعی دندانهای خودتان را چند درجه روشنتر کنید، بلیچینگ دندان یک راه حل عالی، محافظهکارانه و کمهزینهتر است. اما اگر علاوه بر سفیدی، به دنبال ایجاد تغییرات جزئی در فرم، بستن فواصل یا داشتن یک رنگ سفید بسیار خاص هستید، ونیر کامپوزیتی گزینه مناسبتری خواهد بود.
آیا رنگ ونیر کامپوزیتی در طول زمان تغییر میکند؟
بله، کامپوزیتها به مرور زمان و بسته به عادات غذایی شما (مصرف زیاد قهوه، چای و…)، مقداری رنگپذیری دارند. این یکی از تفاوتهای اصلی آن با لمینت سرامیکی است. البته این تغییر رنگ تدریجی بوده و با جلسات پالیش سالیانه میتوان درخشش و زیبایی آن را تا حد زیادی بازگرداند.
اگر کامپوزیت دندان من لبپر شود، قابل ترمیم است؟
بله، این یکی از مزایای بزرگ ونیر کامپوزیت است. در صورت بروز هرگونه پریدگی یا شکستگی جزئی، به راحتی میتوان آن را در مطب و در یک جلسه ترمیم و اصلاح کرد، در حالی که لمینت سرامیکی در صورت آسیب باید به طور کامل تعویض شود.
آیا میتوانم رنگ کامپوزیت را خیلی سفید انتخاب کنم؟
بله، انتخاب رنگ کاملاً به سلیقه شما بستگی دارد. اما متخصص کامپوزیت ما همیشه به شما کمک میکند تا طبیعیترین و هماهنگترین رنگ را با توجه به رنگ پوست و سایر دندانهایتان انتخاب کنید. هدف ما ایجاد یک لبخند زیبا و طبیعی است، نه مصنوعی.
چه کسانی بهترین کاندیداها برای ونیر کامپوزیت هستند؟
افرادی که به دنبال اصلاحات جزئی تا متوسط در رنگ و فرم دندانهای خود هستند، کسانی که میخواهند فاصلههای کوچک بین دندانی را ببندند و به دنبال یک راه حل سریع و اقتصادی برای اصلاح طرح لبخند خود میگردند، بهترین کاندیداها برای این درمان هستند.
آیا بیمههای درمانی، هزینه کامپوزیت دندان را پوشش میدهند؟
از آنجایی که ونیر کامپوزیت یک درمان زیبایی محسوب میشود، معمولاً تحت پوشش بیمههای درمانی پایه یا تکمیلی قرار نمیگیرد. اما شما میتوانید از شرایط پرداخت اقساطی ما بهرهمند شوید.
آیا برای بهره مندی از شرایط اقساطی، نیاز به ضامن یا چک است؟
شرایط ما برای کامپوزیت دندان اقساطی در تبریز تا حد امکان ساده طراحی شده است. برای اطلاع دقیق از مدارک مورد نیاز و فرآیند آن، لطفاً با همکاران ما در کلینیک تماس بگیرید یا در جلسه مشاوره حضوری سوال فرمایید.
سلام آیا هزینه پولیش دوره ای کامپوزیت هم شامل شرایط اقساطی می شود؟
معمولاً شرایط پرداخت هزینه کامپوزیت برای طرح درمان اولیه در نظر گرفته میشود. هزینههای نگهداری مانند پولیش که مبلغ کمتری دارند، به صورت نقدی پرداخت میشوند.
۹. آیا میتوانم فقط چند دندان را کامپوزیت کنم تا هزینه کمتر شود؟
بله، حتماً. شما میتوانید فقط دندانهایی را که دچار مشکل هستند (مثلاً دندانهای جلو یا دندانهای فاصلهدار) کامپوزیت کنید. هزینه کامپوزیت یک دندان در تبریز بسیار کمتر از یک طرح لبخند کامل است.
آیا امکان انجام کامپوزیت دندان اقساطی در تبریز در کلینیک شما وجود دارد؟
بله، ما در کلینیک دکتر آریا رئوف برای رفاه حال مراجعین عزیز، شرایط پرداخت هزینه کامپوزیت به صورت اقساطی در تبریز را فراهم کردهایم. شما میتوانید پس از پرداخت درصدی به عنوان پیشپرداخت، مابقی هزینه را طی چند قسط ماهانه پرداخت نمایید.
منظور دقیق از “کامپوزیت دندان در یک جلسه” چیست؟
منظور این است که کل فرآیند اصلاح طرح لبخند در تبریز (شامل آمادهسازی، فرمدهی و پالیش کامپوزیت برای ۸ تا ۱۰ دندان) در یک نوبت و طی چند ساعت (معمولاً ۳ تا ۶ ساعت) به اتمام میرسد و شما با لبخند جدید از مطب خارج میشوید.
بهترین دکتر کامپوزیت در تبریز چه ویژگیهایی دارد
بهترین دکتر کامپوزیت در تبریز کسی است که: ۱. تخصص و تجربه کافی در دندانپزشکی زیبایی داشته باشد. ۲. برای فرمدهی و پالیش دندانها زمان کافی بگذارد. ۳. از برندهای معتبر کامپوزیتی استفاده کند. ۴. و مهمتر از همه، نمونهکارهای واقعی و طبیعی داشته باشد که میتوانید در گالری ما مشاهده کنید.
برای بستن فاصله بین دندان با کامپوزیت در تبریز، آیا نیاز به ارتودنسی است؟
برای فاصلههای کم تا متوسط (دیاستم)، بستن فاصله بین دندان با کامپوزیت بهترین، سریعترین و کمهزینهترین راه است و نیازی به ارتودنسی ندارد. اما برای فواصل بسیار زیاد یا دندانهای کج، ابتدا باید توسط متخصص ارتودنسی در تبریز دکتر آریا رئوف معاینه شوید.
آیا کامپوزیت دندان جلو در تبریز، مقاومتش کافی است؟
بله، کامپوزیتهای نانوسرامیک امروزی استحکام بسیار بالایی برای دندانهای جلو دارند. کامپوزیت دندان جلو برای جویدن غذاهای معمولی کاملاً مقاوم است، اما باید از عاداتی مانند شکستن تخمه یا جویدن یخ با آنها خودداری کنید.
آیا شما به عنوان متخصص کامپوزیت دندان در تبریز، کامپوزیت بدون تراش هم انجام میدهید؟
بله، اولویت اصلی ما حفظ سلامت دندان طبیعی است. در کلینیک ما در تبریز، بیش از ۹۰ درصد موارد ونیر کامپوزیت بدون هیچگونه تراشی روی دندان بیمار انجام میشود. برای کسب اطلاعات بیشتر. در رابطه با هزینه کامپوزیت دندان در تبریز و شرایط کامپوزیت در تبریز توسط متخصص کامپوزیت در تبریز با برگه تماس با ما در ارتباط باشید.
شرایط پرداخت هزینه کامپوزیت در کلینیک تبریز شما چگونه است؟
شرایط پرداخت هزینه کامپوزیت به صورت توافقی و بر اساس طرح درمان شما مشخص میشود. در جلسه مشاوره رایگان، همکاران ما جزئیات کامل پیشپرداخت و تعداد اقساط را برای شما تشریح خواهند کرد.
۱. کامپوزیت دندان آی پی اس (IPS) در تبریز چیست و چرا طرفدار دارد؟
کامپوزیت دندان آی پی اس (IPS) نسل جدیدی از کامپوزیتهای سرامیکی است که ذرات سرامیک در آن وجود دارد. این مدل کامپوزیت دندان در تبریز بسیار محبوب است چون درخشندگی و استحکامی بسیار نزدیک به لمینت دارد و طیف رنگی آن فوقالعاده طبیعی است.
کامپوزیت نانو سرامیک دارین؟
کامپوزیت نانو سرامیک ترکیبی از تکنولوژی نانو و ذرات سرامیک است. این مواد مقاومت بسیار بالایی در برابر سایش و شکستگی دارند و سطح آنها صیقلیتر است که باعث میشود کمتر رنگ بگیرند. بله در مطب دکتر آریا رئوف، کلیه خدمات کامپوزیت دندان و سفید کردن دندان در تبریز انجام می شود.
بهترین رنگ کامپوزیت دندان کدام است؟ (سفید یخچالی یا طبیعی؟)
انتخاب بهترین رنگ کامپوزیت دندان (مثل رنگهای سری BL یا B1) کاملاً سلیقهای است. اما پیشنهاد ما در کلینیک دکتر رئوف، انتخاب رنگی است که با سفیدی چشم و رنگ پوست شما هماهنگ باشد تا لبخندتان مصنوعی به نظر نرسد.
کامپوزیت دندان لیرینگ (Layering) چیست؟
تکنیک لیرینگ در کامپوزیت یک روش هنرمندانه است که دکتر رئوف لایههای مختلف رنگ و شفافیت را روی هم قرار میدهد تا لبه دندان شفاف (شیشهای) و بدنه آن طبیعی شود. این تکنیک دندان را از حالت “گچی” و مصنوعی خارج میکند.
تفاوت کامپوزیت توکویاما و کاریزما در چیست؟
هر دو برندهای عالی هستند. تفاوت کامپوزیت توکویاما و کاریزما در کشور سازنده و ویژگیهاست؛ توکویاما (ژاپنی) خاصیت آفتابپرستی (هماهنگی رنگ بالا) دارد و کاریزما (آلمانی) استحکام خوبی دارد. ما بر اساس جنس دندان شما بهترین گزینه را پیشنهاد میدهیم.