ایمپلنت دندان در تبریز | کاشت دندان دائمی بدون درد
ایمپلنت دندان در تبریز یا به عبارتی کاشت دندان در تبریز یکی از نوینترین و مؤثرترین روشهای جایگزینی دندان از دسترفته است که در کلینیک دندانپزشکی دکتر آریا رئوف در تبریز، با بهرهگیری از فناوری روز دنیا و تیمی مجرب، با بالاترین کیفیت انجام میشود.
در کلینیک تخصصی دکتر آریا رئوف در تبریز، ما با تکیه بر دانش روز، تکنولوژی پیشرفته، پیشرفتهترین تجهیزات دیجیتال و با ارائه بهترین ایمپلنت تبریز به شما کمک میکنیم تا با راهکاری دائمی و کاملاً مشابه دندان طبیعی، با اعتماد به نفس لبخند بزنید، صحبت کنید و از غذا خوردن لذت ببرید.
اگر به دنبال بهترین دندانپزشک برای ایمپلنت در تبریز هستید، ما به شما کمک میکنیم تا با راهکاری کاملاً مشابه دندان طبیعی، با اطمینان کامل لبخند بزنید و از غذا خوردن لذت ببرید.
ما به شما کمک میکنیم تا با راهکاری دائمی لبخند بزنید. فراموش نکنید که مهارت پزشک، مهمترین عامل موفقیت است؛ به همین دلیل مراجعه به بهترین متخصص ایمپلنت در تبریز، سرمایهگذاری برای سلامت آینده شماست.
چرا برای ایمپلنت دندان در تبریز، مطب دکتر آریا رئوف را انتخاب کنید؟
انتخاب صحیح مرکز درمانی، تضمینکننده موفقیت کاشت دندان در تبریز است. ما مفتخریم که با تکیه بر این اصول، انتخاب اول بسیاری از مراجعین برای دریافت بهترین ایمپلنت تبریز هستیم:
✅ بهترین دکتر ایمپلنت در تبریز با تمرکز کامل بر شما
تمام مراحل درمان، از مشاوره تا جراحی و تحویل نهایی، توسط شخص دکتر آریا رئوف به عنوان یک متخصص ایمپلنت در تبریز انجام میشود. این رویکرد یکپارچه، کیفیت و موفقیت درمان شما را تضمین میکند.
✅ تخصص و تجربه دکتر آریا رئوف:
هدایت تمام مراحل درمان توسط شخص دکتر رئوف، تضمینکننده دریافت یک درمان تخصصی و باکیفیت است.
✅تکنولوژی دیجیتال برای کاشتی دقیق و سریع:
با استفاده از تصویربرداری سهبعدی (CBCT)، ایمپلنت دندان تبریز با حداکثر دقت و حداقل تهاجم انجام میشود. این تکنولوژی پیشرفته، زیرساخت اصلی خدمات خاص ما مانند ایمپلنت فوری در تبریز است. اگر میخواهید بدانید این روش چقدر واقعی است، پیشنهاد میکنیم مقاله ⭐️(ایمپلنت دیجیتال در تبریز: کاشت دندان بدون بخیه و درد) را مطالعه کنید.
✅ برترین برندهای ایمپلنت جهانی:
ما تنها از برندهای معتبر و امتحان پسداده سوئیسی، آلمانی و کرهای با ضمانت کیفیت طولانیمدت استفاده میکنیم. برای شناخت دقیق تفاوت این کشورها، راهنمای ⭐️(مقایسه انواع برندهای ایمپلنت) و مقاله جامع ⭐️(برند برتر ایمپلنت دندان در ایران) را برای شما آماده کردهایم.
✅ محیطی آرام و بدون استرس:
ما درک میکنیم که درمانهای دندانپزشکی میتوانند استرسزا باشند. تمام تلاش ما ایجاد فضایی آرام و تجربهای راحت برای شماست.
✅تجربه کاشت دندان بدون استرس و نگرانی
ما میدانیم مراجعه به دندانپزشکی میتواند اضطرابآور باشد. فضای آرامشبخش کلینیک و همراهی کادر درمانی ما، تجربهای متفاوت از درمانهای دندانپزشکی را برای شما رقم خواهد زد.
✅ مشاوره صادقانه و شفاف:
ما معتقدیم که شما حق دارید از تمام جزئیات درمان خود آگاه باشید. در جلسات مشاوره، تمام گزینهها، مراحل و هزینهها به صورت شفاف برای شما تشریح خواهد شد.
برای آشنایی بیشتر با رویکرد و تخصص تیم ما، میتوانید به صفحه درباره ما مراجعه کنید.
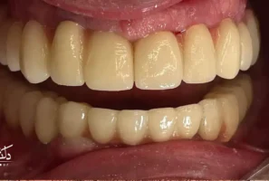
نمونهکارهای موفق ایمپلنت دندان در تبریز | دکتر آریا رئوف
کیس درمانی: بازسازی کامل لبخند با ایمپلنت تمام فک
در این کیس درمانی، بیمار عزیزمان با چالش بیدندانی کامل در هر دو فک مراجعه نمودند. طرح درمان شامل ۱۴ واحد ایمپلنت کرهای باکیفیت بود. پس از ۳ ماه و اطمینان از جوش خوردن کامل ایمپلنتها به استخوان، درمان با ۲۴ واحد روکش سرامیکی زیبا به اتمام رسید. رنگ و فرم نهایی روکشها با توجه به ویژگیهای چهره بیمار، از جمله سن، جنسیت و رنگ پوست، برای دستیابی به یک نتیجه کاملاً طبیعی و هماهنگ انتخاب گردید.


کیس درمانی: بازسازی زیبایی و کارایی با ایمپلنتهای آلمانی
بیمار عزیزمان به دلیل از دست دادن چند دندان خلفی (عقب)، با مشکل جدی در جویدن و همچنین عدم زیبایی لبخند مواجه بودند. طرح درمان ایدهآل برای ایشان، استفاده از ایمپلنتهای آلمانی بود که به دلیل مهندسی دقیق، کیفیت و دوام بسیار بالا شهرت دارند. پس از سپری شدن دوره بهبودی، درمان با روکشهای تمام سرامیکی همرنگ دندانهای طبیعی بیمار تکمیل گردید و عملکرد و زیبایی به طور کامل به لبخند ایشان بازگشت.


کیس درمانی: بازسازی کامل فک با درمان ترکیبی ایمپلنت و ریشه
در این کیس پیچیده، بیمار عزیزمان نیازمند یک طرح درمان جامع برای بازگرداندن سلامت و زیبایی به هر دو فک بودند. درمان شامل دو بخش اصلی بود: ابتدا درمان ریشه (عصبکشی) و بازسازی تاج دندانهای آسیبدیده فک پایین انجام شد. سپس برای جایگزینی دندانهای از دست رفته، از ایمپلنتهای کرهای باکیفیت استفاده گردید. پس از سه ماه و اطمینان از بهبودی کامل، با بهرهگیری از تکنولوژی دیجیتال و اسکن دقیق ایمپلنتها، روکشهای نهایی با حداکثر دقت و تطابق آماده و نصب شدند.


کیس درمانی پیشرفته: ایمپلنت همراه با پیوند استخوان و سینوس لیفت
درمان این بیمار عزیزمان به دلیل تحلیل استخوان و شرایط خاص فک، کمی پیچیدهتر و نیازمند جراحیهای پیشرفته بود. طرح درمان شامل ۶ واحد ایمپلنت کرهای به همراه پیوند استخوان برای بازسازی حجم استخوان از دست رفته و جراحی سینوس لیفت برای ایجاد فضای کافی در فک بالا بود. پس از ۴ ماه صبر برای اطمینان از بهبودی کامل و پیوند موفق، روکشهای نازیبای قدیمی بیمار حذف و در نهایت، یک درمان زیبایی جامع با روکشهای یکدست زیرکونیایی برای ایشان انجام شد تا لبخندی هماهنگ و درخشان داشته باشند.


کیس درمانی: جایگزینی دندان با ایمپلنت سوئیسی و پیوند استخوان
در این کیس، بیمار با دندانهایی مراجعه کردند که متاسفانه غیرقابل نگهداری بودند. پس از کشیدن این دندانها، برای بازسازی بستر ایدهآل، پیوند استخوان نیز انجام شد. برای این درمان، از ایمپلنتهای سوئیسی استفاده کردیم که به عنوان یکی از بهترین و با دوامترین گزینهها در مارکت ایران شناخته میشوند و در طولانی مدت کاملاً امتحان خود را پس دادهاند. سه ماه بعد از جراحی، با استفاده از اسکن دیجیتالی دقیق، دو واحد روکش سرامیکی کاملاً همرنگ با دندانهای کناری برای بیمار ساخته و نصب گردید.


کیس درمانی: جایگزینی دندان با ایمپلنت کرهای و روکش زیرکونیا
در این کیس، برای جایگزینی دندان از دست رفته بیمار، از ایمپلنتهای کرهای باکیفیت استفاده شد که تعادل بسیار خوبی بین هزینه و کیفیت ارائه میدهند. پس از گذشت ۳ ماه و اطمینان از جوش خوردن کامل پایه ایمپلنت به استخوان، فرآیند قالبگیری با استفاده از اسکن دیجیتالی دقیق انجام شد. در نهایت، یک روکش زیرکونیایی که به دلیل استحکام و زیبایی فوقالعاده شناخته میشود، بر روی پایه نصب گردید و لبخندی کامل و بینقص را به بیمار محترم از شهر تبریز هدیه داد.


اعتماد شما، بزرگترین سرمایه ماست. ما با افتخار بخشی از نتایج درخشان مراجعین خود را که در صفحه اینستاگرام دکتر آریا رئوف نیز به اشتراک گذاشته شده، در اینجا به نمایش میگذاریم تا شاهد تاثیر شگفتانگیز ایمپلنت بر زیبایی و کیفیت زندگی باشید.
جدول زمانبندی و نقشه راه درمان ایمپلنت دندان تبریز
یکی از اصلیترین دغدغههای شما برای شروع فرآیند کاشت دندان در تبریز، اطلاع دقیق از زمانبندی و طول کل دوره درمان است. ما درک میکنیم که شما میخواهید مسیر پیش روی خود را بشناسید تا برای زندگی شخصی و حرفهایتان برنامهریزی کنید.
در جدول زیر، یک نمای کلی از مراحل و بازه زمانی مورد نیاز برای ایمپلنت دندان تبریز را مشاهده میکنید. البته بسته به شرایط هر فرد و نوع درمان (مانند ایمپلنت فوری در تبریز یا روشهای سنتی)، این زمانبندی میتواند متفاوت باشد. برنامه درمانی نهایی و شخصیسازی شده شما پس از جلسه مشاوره با متخصص ایمپلنت در تبریز، دکتر رئوف، و بررسی عکسهای سهبعدی مشخص خواهد شد.
|
مرحله |
شرح فعالیت |
متوسط زمان مورد نیاز |
|---|---|---|
|
۱. مشاوره و برنامهریزی |
معاینه دقیق، تهیه عکس سهبعدی (CBCT)، و طراحی طرح درمان دیجیتال. |
۱ جلسه |
|
۲. جراحی کاشت ایمپلنت |
قرار دادن پایه ایمپلنت در استخوان فک تحت بیحسی کامل. |
۱ جلسه |
|
۳. دوره بهبودی و جوش خوردن |
زمان لازم برای جوش خوردن کامل پایه تیتانیومی به استخوان فک (Osseointegration). |
3 تا 6 ماه (مهمترین دوره انتظار) |
|
۴. قالبگیری و ساخت روکش |
پس از اطمینان از جوش خوردن، قالبگیری دیجیتال از ایمپلنت برای ساخت روکش نهایی. |
۱ جلسه |
|
۵. تحویل روکش نهایی |
نصب روکش سرامیکی زیبا و کاملاً همرنگ بر روی پایه ایمپلنت. |
۱ جلسه |
ایمپلنت فوری در تبریز؛ بازگشت لبخند در کمتر از ۲۴ ساعت
بسیاری از مراجعین ما، به خصوص مدیران پرمشغله یا کسانی که از شهرهای دیگر به تبریز میآیند، فرصت کافی برای پروسههای طولانیمدت ۳ تا ۶ ماهه را ندارند. راه حل ما برای این عزیزان، ایمپلنت فوری در تبریز (Immediate Loading) است. در این روش که توسط دکتر رئوف به عنوان بهترین متخصص ایمپلنت در تبریز انجام میشود، اگر تراکم استخوان فک شما مناسب باشد، بلافاصله پس از خارج کردن دندان آسیبدیده، پایه ایمپلنت کاشته شده و در همان جلسه (یا نهایتاً ۴۸ ساعت بعد)، یک روکش موقت زیبا روی آن نصب میشود. مزایای ایمپلنت یک روزه در تبریز:
حفظ زیبایی ظاهری (شما هیچگاه بدون دندان از مطب خارج نمیشوید).
فقط یک بار جراحی و بیحسی.
حفظ بافت لثه و استخوان فک. اگر به دنبال ایمپلنت فوری هستید، در جلسه مشاوره حتماً به دکتر اعلام کنید تا شرایط استخوانی شما برای این درمان بررسی شود.
شرایط ویژه ایمپلنت دندان اقساطی در تبریز (بدون فشار مالی)
ما در کلینیک دکتر رئوف عمیقاً باور داریم که هزینه درمان نباید مانعی برای سلامتی و زیبایی شما باشد. با توجه به شرایط اقتصادی، ما پلنهای متنوعی برای کاشت دندان اقساطی در تبریز طراحی کردهایم. شما میتوانید با پرداخت بخشی از مبلغ به عنوان پیشپرداخت، مابقی هزینه ایمپلنت قسطی در تبریز را طی چکهای صیادی معتبر و در بازههای زمانی مشخص پرداخت کنید. این شرایط شامل انواع برندهای کرهای و سوئیسی میشود. شفافیت مالی اولویت ماست؛ بنابراین در همان جلسه اول، جدول کامل اقساط بدون هیچ هزینه پنهانی به شما ارائه خواهد شد. برای اطلاع از جزئیات دقیق طرحهای ایمپلنت اقساطی، همین حالا با پذیرش کلینیک تماس بگیرید.
ایمپلنت دندان چیست؟
تصور کنید یک ریشه دندان مصنوعی و بسیار مقاوم دارید. ایمپلنت یک پایه کوچک از جنس تیتانیوم (فلزی کاملاً سازگار با بدن) است که دقیقاً مانند ریشه دندان طبیعی، طی یک جراحی ساده در استخوان فک قرار میگیرد. پس از گذشت دوره بهبودی، این پایه به استخوان فک جوش خورده و بستری محکم و دائمی برای نصب روکش دندان (تاج) فراهم میکند. نتیجه نهایی، دندانی است که از نظر ظاهر، حس و کارایی، هیچ تفاوتی با دندان طبیعی شما ندارد.
تصور کنید دوباره صاحب یک ریشه دندان واقعی و بسیار مقاوم شدهاید. ایمپلنت دندان در واقع یک پایه کوچک و پیچیشکل از جنس تیتانیوم خالص (فلزی که بدن آن را دوست دارد) است. این پایه طی یک جراحی دقیق اما ساده، جایگزین ریشه از دست رفته میشود و در استخوان فک قرار میگیرد. پس از گذشت دوره بهبودی و جوش خوردن پایه به استخوان، بستری مستحکم و مادامالعمر برای نصب روکش نهایی (تاج دندان) فراهم میشود. نتیجه نهایی، دندانی است که از نظر زیبایی، قدرت جویدن و حس راحتی، هیچ تفاوتی با دندانهای طبیعی شما ندارد.
(پاراگراف جدید برای لینکسازی): البته فراموش نکنید که ایمپلنت فقط یک قطعه فلزی نیست؛ بلکه مهارت دندانپزشک در کاشت صحیح آن است که تفاوت بین یک درمان موفق و شکستخورده را تعیین میکند. زاویه کاشت، عمق دقیق و تکنیک جراحی، همگی به تجربه پزشک بستگی دارند. اگر میخواهید بدانید یک جراح ماهر چه استانداردهایی باید داشته باشد، پیشنهاد میکنیم حتماً مقاله ویژگیهای بهترین متخصص ایمپلنت در تبریز را مطالعه کنید تا با چشمان باز پزشک خود را انتخاب کنید.
با مراحل ایمپلنت دندان بیشتر آشنا شوید
برای اینکه بهتر با فرآیند درمان ایمپلنت دندان آشنا شوید، در این ویدیوی کوتاه، برخی ار مراحل اصلی این درمان را در مطب دکتر رئوف مشاهده خواهید کرد.
همانطور که در ویدیو مشاهده کردید، ایمپلنت دندان یک فرآیند دقیق و تخصصی است که نیازمند مهارت و تجربه دندانپزشک و استفاده از مواد باکیفیت دارد. همین عوامل بر هزینه نهایی این درمان تاثیرگذار هستند که در ادامه به تفصیل به آنها خواهیم پرداخت.
شما میتوانید این ویدیو و سایر نمونهکارهای ما را مستقیماً در کانال رسمی ما در آپارات نیز مشاهده و دنبال کنید.
مراحل گام به گام کاشت ایمپلنت در کلینیک ما
فرآیند درمان شما از روز اول تا لبخند نهایی، با دقت و برنامهریزی کامل انجام میشود:
1. جلسه مشاوره و معاینه تخصصی:
در این جلسه،دکتر رئوف به عنوان متخصص ایمپلنت در تبریز با انجام معاینات دقیق و بررسی تصاویر رادیوگرافی، وضعیت سلامت دهان و تراکم استخوان شما را ارزیابی کرده و بهترین طرح درمان را به شما پیشنهاد میدهند.
2. طرح درمان دقیق:
با استفاده از دادههای تصویربرداری سهبعدی، محل دقیق، زاویه و عمق کاشت ایمپلنت با دقت میلیمتری مشخص میشود تا از هرگونه آسیب به ساختارهای حساس فک جلوگیری شود.
3. جراحی کاشت پایه ایمپلنت:
این مرحله حساس توسط جراح ایمپلنت در تبریز، دکتر رئوف، طی یک جلسه و با بیحسی کامل موضعی انجام میشود. پایه تیتانیومی در محل دقیق و برنامهریزی شده قرار میگیرد.
4. دوره بهبودی و جوش خوردن (استئواینتگریشن):
این دوره که معمولاً بین ۲ تا ۴ ماه طول میکشد، مهمترین بخش موفقیت ایمپلنت است. در این مدت، استخوان فک به دور پایه ایمپلنت رشد کرده و آن را به بخشی از بدن تبدیل میکند.
5. نصب روکش نهایی:
پس از اطمینان از جوش خوردن کامل پایه، قالبگیری دقیق از محل انجام شده و روکش دندانی سفارشی شما (که از نظر رنگ و فرم کاملاً با سایر دندانها هماهنگ است) ساخته و بر روی پایه نصب میشود.
ایمپلنت فوری در تبریز؛ یک روزه صاحب دندان شوید!
نکته مهم در مورد ایمپلنت فوری (یک روزه):
برای افرادی که شرایط استخوانی مناسبی دارند، امکان کاشت دندان در تبریز به روش فوری نیز وجود دارد. در این متد، فاصله زمانی بین جراحی و تحویل روکش به شکل چشمگیری کاهش مییابد. در جلسه مشاوره از دکتر در این مورد سوال کنید.


بهترین ایمپلنت تبریز: راه حلی ایدهآل برای شما
ایمپلنت دندان به عنوان استاندارد طلایی دندانپزشکی، بهترین راه حل دائمی برای جایگزینی دندانهای از دست رفته است. اما آیا این درمان برای شما مناسب است؟ کاشت دندان در تبریز بهترین انتخاب برای افرادی است که:
یک یا چند دندان خود را از دست دادهاند.
از دندانهای مصنوعی متحرک خود ناراضی هستند و به دنبال ثبات و راحتیاند.
میخواهند بدون هیچ محدودیتی از غذا خوردن لذت ببرند.
به دنبال راه حلی با ظاهر و حسی کاملاً مشابه دندان طبیعی هستند.
دریافت ایمپلنت دندان تبریز نه تنها زیبایی لبخند شما را بازمیگرداند، بلکه با جلوگیری از تحلیل استخوان فک، به حفظ سلامت سایر دندانها نیز کمک میکند. برای ارزیابی دقیق شرایط و دریافت یک طرح درمان شخصیسازی شده، با متخصص ایمپلنت در تبریز، دکتر رئوف، مشورت کنید.
آگاهی کامل، کلید یک تجربه درمانی موفق و بدون استرس است. ما در وبلاگ تخصصی خود، به تمام سوالات احتمالی شما درباره کاشت دندان در تبریز پاسخ دادهایم. از جزئیات دقیق هزینهها گرفته تا مراقبتهای پس از درمان و طول عمر ایمپلنت، همه چیز را برای شما توضیح دادهایم. مطالعه این مقالات منتخب را پیش از شروع درمان به شما توصیه میکنیم.
هزینه ایمپلنت دندان در تبریز چقدر است؟ (شفافیت کامل در قیمتها)
ما درک میکنیم که قیمت کاشت دندان در تبریز یکی از اولین سوالات شماست. هزینه نهایی به عواملی مانند برند ایمپلنت، نیاز یا عدم نیاز به پیوند استخوان و تعداد دندانها بستگی دارد.
به همین دلیل، ما یک جلسه مشاوره رایگان برای شما در نظر گرفتهایم تا پس از معاینه دقیق، قیمت نهایی و شفاف را به شما اعلام کنیم. همچنین برای راحتی شما، امکان استفاده از شرایط ایمپلنت قسطی در تبریز نیز فراهم است.
👈 برای مشاهده جزئیات کامل و عوامل موثر بر قیمت، حتماً مقاله جامع ما در مورد «✅هزینه ایمپلنت دندان» را مطالعه کنید.
راز ماندگاری ایمپلنت: چرا جرمگیری قبل و بعد از کاشت حیاتی است؟
بسیاری تصور میکنند چون ایمپلنت پوسیده نمیشود، دیگر نیازی به مسواک و جرمگیری ندارد. این یک اشتباه خطرناک است! دشمن شماره یک ایمپلنت، بیماری لثه (Peri-implantitis) است که دقیقاً مشابه بیماری لثه دندان طبیعی عمل میکند.
قبل از کاشت (آمادهسازی بستر): کاشت ایمپلنت در محیطی که جرم و باکتری دارد، مانند ساختن خانه روی زمین باتلاقی است. برای جلوگیری از عفونت اولیه، ما در کلینیک دکتر رئوف ابتدا با جرمگیری کامل دندان، محیط دهان را استریل میکنیم تا جوش خوردن پایه به استخوان تضمین شود.
بعد از کاشت (گارانتی سلامتی): جرمهای دندانی میتوانند به زیر لثه ایمپلنت نفوذ کرده و باعث تحلیل استخوان و در نهایت لقی ایمپلنت شوند. اگر میخواهید سرمایهگذاری شما مادامالعمر باشد، جرمگیری منظم (هر ۶ ماه) الزامی است.
برای درک اینکه چگونه جرمگیری میتواند بوی بد دهان را رفع کرده و سلامت ایمپلنت شما را تضمین کند، پیشنهاد میکنیم مقاله جامع ما با عنوان ✅(جرمگیری دندان در تبریز؛ خداحافظی با بوی بد دهان و لکههای چای) را مطالعه کنید.
چرا دکتر آریا رئوف، بهترین دکتر ایمپلنت در تبریز است؟
وقتی به دنبال بهترین دندانپزشک برای ایمپلنت در تبریز هستید، تجربه، تخصص و دقت حرف اول را میزند. انتخاب یک متخصص ایمپلنت در تبریز که بر تمام جزئیات مسلط باشد، موفقیت درمان شما را تضمین میکند. دکتر آریا رئوف به عنوان جراح ایمپلنت در تبریز، با تکیه بر دانش عمیق و سالها تجربه موفق، متعهد به ارائه بهترین نتایج برای شما هستند. دلایل کلیدی که کلینیک ما را متمایز میکند:
تخصص در جراحیهای پیشرفته ایمپلنت: تسلط کامل بر تکنیکهای پیچیده، از جمله ایمپلنت فوری (یک روزه) و جراحیهای بازسازی استخوان، برای بیمارانی که شرایط خاص دارند.
طراحی درمان با تکنولوژی ایمپلنت دیجیتال: استفاده از اسکنرهای سهبعدی برای برنامهریزی دقیق درمان، که نتیجه آن جراحی سریعتر، درد کمتر و افزایش چشمگیر درصد موفقیت است.
تعهد به استفاده از بهترین برندهای ایمپلنت: ما معتقدیم کیفیت اتفاقی نیست. برای ارائه بهترین ایمپلنت تبریز، ما تنها از برترین برندهای معتبر جهانی با ضمانتنامه رسمی استفاده میکنیم.
تمرکز بر تجربه درمانی آرام و بدون درد: هدف ما تنها کاشت یک دندان نیست، بلکه ارائه یک تجربه درمانی کاملاً راحت و بدون استرس است تا شما با خاطرهای خوب، لبخند جدید خود را به دست آورید.
در مقاله ⭐️(ویژگیهای بهترین متخصص ایمپلنت در تبریز)، چکلیست کاملی برای انتخاب بهترین دکتر برای ایمپلنت ارائه دادهایم که خواندن آن قبل از تصمیمگیری ضروری است.
سوالات متداول شما درباره ایمپلنت دندان
قیمت کاشت دندان در تبریز چقدر است؟
عوامل متعددی روی 👈هزینه ایمپلنت دندان در تبریز تاثیرگذار است، از جمله برند ایمپلنت، تعداد واحدهای مورد نیاز و درمانهای جانبی. ما در کلینیک دکتر رئوف به شفافیت کامل در هزینهها معتقدیم و پس از یک جلسه مشاوره رایگان، طرح درمان و هزینه دقیق را به شما ارائه خواهیم داد. برای آشنایی بیشتر، مقاله ما درباره عوامل موثر بر قیمت ایمپلنت را بخوانید.
چگونه میتوان بهترین دکتر ایمپلنت در تبریز را برای درمان انتخاب کرد؟
برای یافتن بهترین دندانپزشک برای ایمپلنت در تبریز، باید به تجربه، تخصص و بهخصوص نمونهکارهای واقعی او توجه کنید. یک درمان موفق، بیش از هر چیز به مهارت و دانش دندانپزشک بستگی دارد. بررسی سوابق و میزان رضایت بیماران قبلی، بهترین راهنما برای شما خواهد بود.
آیا کاشت دندان دائمی بدون درد است؟
هدف اصلی ما در کلینیک، ارائه یک تجربه ایمپلنت دندان بدون درد است. با استفاده از تکنیکهای بیحسی مدرن و مهارت بالای جراح ایمپلنت، خود عمل کاملا بدون درد خواهد بود. درد و ناراحتی پس از عمل نیز با داروهای تجویز شده به خوبی کنترل میشود.
مراحل کاشت ایمپلنت دندان به طور کامل چقدر طول میکشد؟
کل فرآیند کاشت ایمپلنت دندان، از روز جراحی تا نصب روکش نهایی، به طور میانگین بین ۳ تا ۶ ماه زمان نیاز دارد. این زمان برای جوش خوردن کامل پایه به استخوان و تضمین موفقیت بلندمدت درمان ضروری است. جزئیات این پروسه در بخش مراحل گام به گام درمان شرح داده شده است.
ارزیابی توسط متخصص ایمپلنت در تبریز شامل چه مواردی است؟
در جلسه مشاوره، متخصص ایمپلنت در تبریز با استفاده از اسکنهای سهبعدی، وضعیت سلامت لثه و تراکم استخوان فک شما را به دقت بررسی میکند. تشخیص نهایی اینکه شما کاندیدای مناسبی برای این درمان هستید یا نیاز به درمانهای جانبی مانند پیوند استخوان دارید، در این جلسه مشخص میشود.
تفاوت بین برندهای مختلف ایمپلنت (کرهای، سوئیسی و...) چیست؟
برندهای مختلف از نظر کیفیت، قیمت و طول عمر با هم تفاوت دارند. انتخاب بهترین برند به شرایط شما بستگی دارد. ما برای شفافیت کامل، یک راهنمای بسیار جامع آماده کردهایم. برای آشنایی با جزئیات کامل، توصیه میکنیم مقاله ما با عنوان مقایسه کامل برندهای ایمپلنت دندان را مطالعه فرمایید.
آیا واقعاً تفاوتی بین برندهای مختلف ایمپلنت (کرهای، سوئیسی و...) وجود دارد؟
بله، تفاوتهای مهمی در کیفیت، طول عمر و قیمت وجود دارد. انتخاب بهترین برند به شرایط استخوان فک و بودجه شما بستگی دارد. ما برای شفافیت کامل و پاسخ به تمام سوالات شما در این زمینه، یک راهنمای بسیار جامع آماده کردهایم. برای آشنایی با جزئیات کامل، توصیه میکنیم مقاله ما با عنوان مقایسه کامل برندهای ایمپلنت دندان را مطالعه فرمایید.
ویژگیهای بهترین متخصص ایمپلنت در تبریز چیست؟
برای انتخاب بهترین متخصص ایمپلنت در تبریز، باید به سه فاکتور کلیدی توجه کنید: ۱. تخصص جراحی و تجربه بالا در کیسهای پیچیده، ۲. استفاده از تکنولوژیهای روز دنیا مانند ایمپلنت دیجیتال برای کاهش درد و خطا، و ۳. شفافیت در ارائه برندهای معتبر با گارانتی. این استانداردها تضمینکننده یک کاشت موفق و مادامالعمر هستند.
آیا ایمپلنت همیشه بهترین راه حل است یا بریج (پل دندانی) هم گزینه خوبی است؟
انتخاب بین این دو، به شرایط شما بستگی دارد. اما مزیت اصلی ایمپلنت این است که یک راه حل مستقل بوده و به دندانهای سالم مجاور آسیبی نمیرساند. یک جراح ایمپلنت ماهر میتواند بهترین گزینه را بر اساس شرایط شما پیشنهاد دهد. مقایسه کامل این دو روش را در مقاله “ایمپلنت یا بریج؟” بخوانید.
مراقبتهای بعد از عمل برای موفقیت درمان چقدر اهمیت دارد؟
بسیار زیاد. موفقیت بلندمدت درمان شما به رعایت دقیق دستورالعملهای پس از عمل و حفظ بهداشت دهان و دندان بستگی دارد. این مراقبتها تضمینکننده سلامت لثه و استخوان اطراف ایمپلنت شماست.
آیا ظاهر ایمپلنت از دندان طبیعی قابل تشخیص است؟
خیر. با استفاده از روکشهای مدرن تمام سرامیک یا زیرکونیا، نتیجه نهایی از نظر رنگ، فرم و بازتاب نور کاملاً مشابه دندانهای طبیعی شما خواهد بود. شما میتوانید نتایج را در گالری نمونهکارهای ما مشاهده کنید.
برای جایگزینی تمام دندانها چه راهکاری پیشنهاد میشود؟
برای بیمارانی که تمام دندانهای خود را از دست دادهاند، روشهای نوینی مانند ایمپلنت تمام فک (که با عنوان All-on-4 یا All-on-6 نیز شناخته میشود) وجود دارد. این روش میتواند با تعداد محدودی ایمپلنت، یک دست دندان کامل، ثابت و زیبا را به شما هدیه دهد.
ایمپلنت فوری (یک روزه) چیست و برای چه کسانی مناسب است؟
در شرایطی که استخوان فک بیمار وضعیت ایدهآلی داشته باشد، میتوان بلافاصله پس از کشیدن دندان، پایه ایمپلنت را قرار داد. این روش طول درمان را به شدت کاهش میدهد، اما تشخیص مناسب بودن آن برای شما، تنها پس از معاینه دقیق توسط دندانپزشک امکانپذیر است.
آیا ممکن است بدن من ایمپلنت را پس بزند؟
این یک نگرانی رایج اما بر اساس یک باور قدیمی است. ایمپلنتهای مدرن از جنس تیتانیوم خالص ساخته شدهاند که کاملاً با بدن انسان سازگار (Biocompatible) است و واکنش آلرژیک ایجاد نمیکند. بنابراین، چیزی به نام “پس زدن ایمپلنت” مانند پس زدن یک عضو پیوندی وجود ندارد. موارد بسیار نادری از شکست درمان، معمولاً به دلیل عواملی مانند عفونت، فشار بیش از حد در دوره بهبودی یا شرایط پزشکی خاص بیمار است، نه به دلیل عدم پذیرش پایه ایمپلنت توسط بدن.
من برای یک دندان ایمپلنت نیاز دارم، آیا رنگ روکش آن با بقیه دندانهایم فرق خواهد کرد؟
خیر، به هیچ وجه. این یکی از مهمترین بخشهای هنری در درمان ایمپلنت تک دندان است. پس از جوش خوردن کامل پایه ایمپلنت، متخصص پروتز با استفاده از نمونه رنگهای دیجیتال و با دقت بسیار بالا، رنگی را انتخاب میکند که کاملاً با دندانهای طبیعی مجاور شما هماهنگ باشد. هدف ما در کلینیک دکتر آریا رئوف، خلق نتیجهای است که از دندانهای طبیعی شما غیرقابل تشخیص باشد.
چرا دکتر آریا رئوف به عنوان یکی از بهترین دکترهای ایمپلنت تبریز شناخته میشود؟
دکتر رئوف با ترکیب دانش تخصصی جراحی، بهرهگیری از پیشرفتهترین تجهیزات دیجیتال (اسکنر سه بعدی) و ثبت نرخ موفقیت بسیار بالا در درمانها، توانستهاند اعتماد مراجعین را جلب کنند. تعهد به درمان بدون درد و ارائه خدمات در سطح استانداردهای جهانی، ایشان را در لیست بهترین دکتر ایمپلنت در تبریز قرار داده است.
آیا تجهیزات و محیط کلینیک در موفقیت ایمپلنت تاثیر دارد؟ (چگونه بهترین مرکز را انتخاب کنیم؟)
بله، صد در صد. جراحی ایمپلنت یک درمان حساس است که نیازمند محیطی کاملاً استریل (CSR) و تجهیزات دیجیتال پیشرفته است تا عفونتی رخ ندهد. موفقیت درمان فقط به مهارت پزشک بستگی ندارد، بلکه استاندارد بودن مرکز درمانی نیز حیاتی است. برای اینکه بدانید یک مرکز معتبر چه استانداردهایی باید داشته باشد و چه چکلیستی را باید قبل از مراجعه بررسی کنید، پیشنهاد میکنیم مقاله جامع ⭐️(ویژگیهای بهترین کلینیک دندانپزشکی در تبریز) را حتماً مطالعه کنید تا با خیال راحت تصمیم بگیرید.
قدم اول برای لبخند جدید شما
آیا آمادهاید تا جای خالی دندانهای خود را با بهترین و ماندگارترین راهکار پر کرده و با اعتماد به نفس کامل لبخند بزنید؟
تیم ما در کلینیک تخصصی دکتر آریا رئوف آماده پاسخگویی به سوالات شما و ارائه یک برنامه درمانی بینظیر است.
برای دریافت نوبت مشاوره تخصصی و رایگان، همین امروز با ما تماس بگیرید.
ما در کلینیک دکتر آریا رئوف، علاوه بر ایمپلنت دندان، طیف وسیعی از خدمات تخصصی دیگر را نیز ارائه میدهیم. برای آشنایی با تمام راهکارهای درمانی و زیبایی ما، میتوانید به صفحه لیست کامل خدمات دندانپزشکی ما مراجعه فرمایید.
سلام شرایط اقساطی داره؟
سلام و وقت بخیر. از اینکه سوال خود را با ما در میان گذاشتید، بسیار متشکرم.
بله، خوشبختانه ما در کلینیک دکتر آریا رئوف، شرایط پرداخت اقساطی را برای شما عزیزان فراهم کردهایم. ما کاملاً درک میکنیم که هزینه ایمپلنت دندان میتواند یک چالش باشد و معتقدیم که مسائل مالی نباید مانعی برای دسترسی به یک درمان باکیفیت و دائمی شود.
شرایط پرداخت منعطف ما برای ایمپلنت دندان در تبریز طراحی شده تا شما با آرامش خاطر بیشتری بتوانید فرآیند درمان خود را برای جایگزینی دندانهای از دست رفته آغاز کنید.
برای اطلاع از جزئیات دقیق طرحهای پرداخت، نحوه بازپرداخت و هماهنگیهای لازم، لطفاً با بخش پذیرش کلینیک ما تماس بگیرید. همکاران ما با خوشرویی پاسخگوی تمام سوالات شما خواهند بود.
میتوانید از طریق صفحه تماس با ما شمارههای تماس را بردارید یا فرم مربوطه را تکمیل کنید تا ما با شما تماس بگیریم.
با احترام،
کلینیک دندانپزشکی دکتر آریا رئوف
سلام آقای دکتر، وقت بخیر. من خیلی تحقیق کردم و تعریف ایمپلنتهای سوئیسی اشترومن رو زیاد شنیدم. آیا شما در کلینیکتون از این برند هم استفاده میکنید؟ و اینکه آیا واقعا ارزش این همه هزینه بیشتر رو داره؟ ممنون میشم راهنمایی کنید.
سلام آقای رضای عزیز. وقت شما هم بخیر. از سوال بسیار دقیق و هوشمندانه شما سپاسگزارم. این نشان میدهد که با دقت زیادی در حال تحقیق برای سلامت خود هستید.
بله، ما در کلینیک دکتر آریا رئوف مفتخریم که از برترین برندهای ایمپلنت دنیا، از جمله برند معتبر اشترومن سوئیس (Straumann)، استفاده میکنیم.
در پاسخ به سوال دوم شما که آیا ارزش هزینه بیشتر را دارد یا خیر: ایمپلنت اشترومن به دلیل دههها تحقیق و توسعه بیوقفه، تکنولوژی سطح منحصربهفرد (مانند SLActive®) که فرآیند جوش خوردن به استخوان را تسریع میبخشد، و ضمانتنامه مادامالعمر، به عنوان “استاندارد طلایی” در دنیا شناخته میشود.
این برند به خصوص برای کیسهای پیچیدهتر، بیمارانی با تراکم استخوان کمتر، یا افرادی که به دنبال حداکثر اطمینان و موفقیت بلندمدت هستند، یک انتخاب بینظیر است. البته، برندهای باکیفیت دیگری (مانند ایمپلنتهای آلمانی یا کرهای درجه یک) نیز وجود دارند که برای بسیاری از بیماران نتایج فوقالعادهای به همراه دارند.
انتخاب بهترین برند ایمپلنت برای شما، تصمیمی است که پس از معاینه دقیق و بررسی عکسهای سهبعدی در جلسه مشاوره گرفته میشود. در آن جلسه، من تمام گزینهها را به همراه مزایا و هزینههایشان به صورت شفاف برای شما توضیح خواهم داد.
برای رزرو یک جلسه مشاوره رایگان میتوانید از طریق صفحه تماس با ما اقدام نمایید.
با احترام،
کلینیک دندانپزشکی دکتر آریا رئوف
-من از جراحی خیلی میترسم. آیا راهی هست که ایمپلنت رو بدون درد و استرس انجام بدم؟
سلام خانم هانیه. درک میکنم. بله، ما برای بیمارانی مانند شما که اضطراب بالایی دارند، راه حل درمان تحت آرامبخشی (Sedation) را ارائه میدهیم. در این روش، شما در طول فرآیند جراحی در حالتی از آرامش عمیق قرار میگیرید و هیچ استرسی را تجربه نخواهید کرد. هدف ما، ارائه یک تجربه درمانی کاملاً بدون استرس است.
باسلام، آقای دکتر ایمپلنت های شما گارانتی و ضمانت هم داره؟
سلام خانم هانیه مهدیزاده خامنه عزیز. سپاس از سوال بسیار خوب و مهم شما.
بله، ما به کیفیت کار و متریال مورد استفاده خود اطمینان کامل داریم و به همین دلیل، درمانهای ایمپلنت ما شامل ضمانت و گارانتی میشوند.
البته، مدت زمان و شرایط این ضمانت به برند ایمپلنت انتخابی شما بستگی دارد. برندهای معتبر جهانی مانند ایمپلنتهای سوئیسی، ضمانتنامههای بلندمدت و حتی مادامالعمر ارائه میدهют. موفقیت بلندمدت درمان، یک همکاری دوجانبه بین متخصص ایمپلنت و بیمار است و رعایت بهداشت و چکاپهای منظم، شرط اصلی فعال ماندن این ضمانت است.
در جلسه مشاوره رایگان در کلینیک ما در تبریز، ما به طور کامل شرایط گارانتی مربوط به هر برند را برای شما تشریح خواهیم کرد تا با آگاهی کامل، بهترین انتخاب را داشته باشید.
با احترام،
کلینیک دندانپزشکی دکتر آریا رئوف
سلام آقای دکتر. من حدود ۱۰ سال پیش دندانم را از دست دادهام و حالا برای ایمپلنت اقدام کردهام. یکی از دوستانم من را ترسانده و گفته چون خیلی وقت گذشته، استخوان فکم تحلیل رفته و دیگر نمیتوانم ایمپلنت بکارم. آیا این موضوع صحت دارد؟
سلام خانم سارای عزیز. از اینکه سوال مهم خود را مطرح کردید، سپاسگزارم. این یک دغدغه کاملاً رایج است.
خبر خوب این است که حتی پس از گذشت چندین سال و با وجود تحلیل استخوان، در اکثر موارد همچنان امکان کاشت ایمپلنت وجود دارد. علم دندانپزشکی برای این مشکل، راه حلهای پیشرفتهای مانند جراحی پیوند استخوان و سینوس لیفت را ارائه میدهد. ما با استفاده از این تکنیکها، ابتدا بستر استخوانی فک شما را بازسازی کرده و آن را برای یک کاشت ایمپلنت موفق و بادوام آماده میکنیم.
بنابراین، به هیچ وجه نگران نباشید. بهترین کار، مراجعه برای یک جلسه مشاوره رایگان و تهیه عکس رادیوگرافی سهبعدی است تا بتوانیم بهترین و دقیقترین طرح درمان را برای شرایط شما ارائه دهیم. شما میتوانید از طریق صفحه تماس با ما برای رزرو نوبت اقدام فرمایید.
با احترام،
کلینیک دندانپزشکی دکتر آریا رئوف
سلام وقت بخیر. من دندان شماره ۶ پایین سمت راستم رو کشیدم. آیا ایمپلنت برای دندانهای آسیاب (عقب) هم به همون خوبی دندانهای جلو جواب میده؟ نگران فشار جویدن هستم.
سلام آقای آیدین گرامی. سوال بسیار خوبی است.
بله، ایمپلنتهای دندانی بهترین و مقاومترین راه حل برای جایگزینی دندانهای آسیاب هستند. ما برای این نواحی که تحت فشار شدید جویدن قرار دارند، از برندهای ایمپلنت با استحکام بسیار بالا (مانند ایمپلنتهای سوئیسی یا آلمانی) و روکشهای زیرکونیایی استفاده میکنیم. نتیجه نهایی، دندانی است که از نظر قدرت و کارایی، کاملاً مشابه دندان طبیعی خودتان خواهد بود و میتوانید با خیال راحت از آن استفاده کنید.
سلام دکتر. من دیابت دارم ولی قندم تحت کنترله. آیا با این شرایط میتونم ایمپلنت بکارم؟ خیلی نگرانم که بدنم ایمپلنت رو پس بزنه.
سلام خانم فاطمه گرامی. ممنون از سوال خوبتون.
این یک نگرانی رایج اما قابل مدیریت است. خبر خوب این است که تا زمانی که دیابت شما تحت کنترل باشد و قند خون در محدوده طبیعی قرار داشته باشد، شما کاندیدای خوبی برای کاشت ایمپلنت هستید. ما قبل از شروع هرگونه فرآیند جراحی ایمپلنت، یک مشاوره کامل پزشکی انجام میدهیم و در صورت لزوم با پزشک معالج شما نیز در ارتباط خواهیم بود تا از ایمن بودن تمام مراحل برای شما اطمینان حاصل کنیم. سلامت شما، اولویت اول ماست.
سلام. آیا برای کاشت ایمپلنت محدودیت سنی وجود داره؟ من ۶۸ سالمه و چندتا دندون از دست دادم.
سلام. از اینکه به فکر سلامت خود هستید بسیار خوشحالیم. خیر، برای کاشت ایمپلنت هیچ محدودیت سنی وجود ندارد. تا زمانی که شما از سلامت عمومی مناسبی برخوردار باشید و تراکم استخوان کافی داشته باشید (که آن هم قابل بازسازی است)، میتوانید بهترین کاندیدا برای ایمپلنت دندان در تبریز باشید.
سلام آقای دکتر، ممنون از توضیحات کاملتون. سوالم اینه که طول عمر ایمپلنت دندان چقدر به برندش بستگی داره؟ آیا واقعا ایمپلنت کرهای هم میتونه ۲۰ سال کار کنه یا حتما باید ایمپلنت سوئیسی انتخاب کنیم؟
سلام. سوال بسیار خوبی پرسیدید. بله، ایمپلنتهای کرهای درجه یک امروزی طول عمر بسیار بالایی دارند. اما مهمتر از برند، مهارت متخصص ایمپلنت و مراقبتهای بعد از ایمپلنت توسط خود شماست. یک ایمپلنت کرهای که به درستی کاشته شده و به خوبی از آن مراقبت شود، میتواند به راحتی بیش از ۲۰ سال عمر کند.
سلام وقت بخیر. من میخوام دو تا از دندونای کنار دندون جلوم رو ایمپلنت کنم. آیا روکش ایمپلنت از نظر شفافیت و ظاهر، دقیقا مثل دندون طبیعی میشه؟ خیلی نگرانم که تفاوتش مشخص باشه.
سلام آقای عرفان. این یک دغدغه کاملاً به جا برای کاشت دندان در ناحیه زیبایی است. به شما اطمینان میدهم که با استفاده از روکشهای تمام سرامیکی یا زیرکونیا و همکاری با لابراتوارهای تخصصی، نتیجه نهایی از نظر رنگ، فرم و نحوه بازتاب نور، کاملاً با دندانهای طبیعی شما هماهنگ و غیرقابل تشخیص خواهد بود.
سلام اقای دکتر با بیمه خدمات درمان هم کار میکنین؟
سلام و وقت بخیر. سپاس از سوال شما.
ما در کلینیک دکتر آریا رئوف با اکثر بیمههای تکمیلی طرف قرارداد هستیم. بسیاری از این بیمهها، بخشی از هزینههای درمانهای دندانپزشکی مانند ایمپلنت، درمان ریشه و روکش را بر اساس سقف تعهدات خود پوشش میدهند.
اما بیمه خدمات درمانی، معمولاً خدمات تخصصی و زیبایی را پوشش نمیدهد. با این حال، برای اطمینان کامل و بررسی دقیق شرایط قرارداد شما، بهترین راه این است که با در دست داشتن معرفینامه یا کارت بیمه خود، با بخش پذیرش کلینیک ما تماس بگیرید. همکاران ما با خوشرویی شما را راهنمایی خواهند کرد.
میتوانید از طریق صفحه تماس با ما شمارههای تماس را بردارید.
با احترام،
کلینیک دندانپزشکی دکتر آریا رئوف
سلام. من کارم طوریه که نمیتونم زیاد مرخصی بگیرم. میخواستم بدونم دوره نقاهت بعد از جراحی چقدر طول میکشه؟ یعنی چند روز نمیتونم برم سر کار؟
سلام آقای محمد عزیز. این یک دغدغه کاملاً قابل درک است.
خوشبختانه با استفاده از تکنیکهای مدرن و جراحی با حداقل تهاجم، دوره نقاهت بسیار کوتاه است. اکثر بیماران ما پس از یک یا دو روز استراحت، به راحتی به فعالیتهای روزمره خود بازمیگردند. ما تمام مراقبتهای بعد از ایمپلنت را به شما آموزش میدهیم تا بهبودی شما با سرعت و راحتی هر چه تمامتر طی شود.
سلام آقای دکتر. مادربزرگ من ۷۵ سالشونه و از دندون مصنوعی خیلی اذیت میشن. آیا تو این سن هم میشه براشون ایمپلنت کامل فک انجام داد؟
سلام. از اینکه به فکر سلامت مادربزرگتان هستید بسیار خرسندم.
بله، هیچ محدودیت سنی برای انجام ایمپلنت وجود ندارد. تا زمانی که فرد از سلامت عمومی مناسبی برخوردار باشد، میتواند بهترین کاندیدا برای درمان ایمپلنت تمام فک در تبریز باشد. این درمان میتواند کیفیت زندگی ایشان را به طرز شگفتانگیزی بهبود ببخشد و توانایی جویدن راحت را به ایشان بازگرداند. حتماً برای یک جلسه مشاوره و ارزیابی دقیق تشریف بیاورید.
سلام. من چندتا از دندونامو از دست دادم و بین گذاشتن دندون مصنوعی تکهای (پارسیل) و ایمپلنت شک دارم. ایمپلنت خیلی گرونتره. مزیت اصلیش چیه که این اختلاف قیمت رو توجیه کنه؟
سلام خانم سیما عزیز. این یک مقایسه کلیدی است.
مهمترین مزیت ایمپلنت نسبت به پروتز متحرک، حفظ سلامت استخوان فک و عدم آسیب به دندانهای مجاور است. پروتز متحرک به مرور زمان باعث تحلیل استخوان فک میشود و برای گیر کردن، به دندانهای کناری فشار میآورد.
اما ایمپلنت مانند ریشه دندان طبیعی عمل کرده، استخوان فک را حفظ میکند و یک راهکار ثابت، دائمی و بسیار راحتتر است. این سرمایهگذاری، در بلندمدت سلامت کل دهان شما را تضمین میکند.
من واقعا فوبیای جراحی دارم و از فکرش هم استرس میگیرم. آیا روشی هست که من در حین عمل متوجه چیزی نشم و کاملا راحت باشم؟
سلام. این نگرانی شما برای ما کاملاً قابل درک است و شما تنها نیستید.
بله، ما برای بیمارانی مانند شما که اضطراب بالایی دارند، راه حل درمان تحت آرامبخشی (Sedation) را ارائه میدهیم. در این روش، شما در طول فرآیند جراحی در حالتی از آرامش عمیق و خوابآلودگی قرار میگیرید و هیچگونه استرس یا خاطره ناخوشایندی از عمل نخواهید داشت. هدف ما، ارائه یک تجربه درمانی کاملاً بدون استرس برای شماست. در جلسه مشاوره میتوانید در مورد این روش اطلاعات کاملتری کسب کنید.
سلام. من میخوام دندون جلوییمو ایمپلنت کنم ولی خیلی نگرانم که ظاهرش با بقیه دندونام فرق کنه و مصنوعی به نظر بیاد. چقدر میشه به طبیعی بودن نتیجه کار مطمئن بود؟
من به شما اطمینان میدهم که با استفاده از روکشهای تمام سرامیک یا زیرکونیا و همکاری با بهترین لابراتوارهای تخصصی، نتیجه نهایی از نظر رنگ، فرم و شفافیت، کاملاً با دندانهای طبیعی شما هماهنگ و غیرقابل تشخیص خواهد بود. شما میتوانید نتایج کارهای ما را در گالری نمونهکارهای ایمپلنت ما مشاهده کنید تا با اطمینان کامل تصمیم بگیرید.
سلام. من میخوام دندون جلوییمو ایمپلنت کنم ولی خیلی نگرانم که ظاهرش با بقیه دندونام فرق کنه و مصنوعی به نظر بیاد. چقدر میشه به طبیعی بودن نتیجه کار مطمئن بود؟
سلام آقای جواد حسینی. این مهمترین دغدغه در ایمپلنتهای ناحیه زیبایی است.
من به شما اطمینان میدهم که با استفاده از روکشهای تمام سرامیک یا زیرکونیا و همکاری با بهترین لابراتوارهای تخصصی، نتیجه نهایی از نظر رنگ، فرم و شفافیت، کاملاً با دندانهای طبیعی شما هماهنگ و غیرقابل تشخیص خواهد بود. شما میتوانید نتایج کارهای ما را در گالری نمونهکارهای ایمپلنت ما مشاهده کنید تا با اطمینان کامل تصمیم بگیرید.
سلام آقای دکتر. من ساکن آلمان هستم و قصد دارم برای تعطیلات به تبریز بیایم و ایمپلنت انجام بدم. آیا کل فرآیند درمان در یک سفر ۲ هفتهای امکانپذیر است؟ ممنون میشم راهنمایی بفرمایید.
سلام آقای علی عزیز. از اینکه کلینیک ما را برای درمان انتخاب کردهاید، بسیار خرسندیم.
درمان کامل ایمپلنت شامل دو مرحله اصلی جراحی و نصب روکش است که بین این دو، یک دوره بهبودی ۳ تا ۴ ماهه نیاز است. بنابراین، انجام تمام مراحل در یک سفر کوتاه امکانپذیر نیست.
اما راه حل این است که شما میتوانید در سفر اول خود، مرحله جراحی و کاشت پایه ایمپلنت را انجام دهید و پس از بازگشت و گذشت دوره بهبودی، برای سفر دوم و نصب روکش نهایی برنامهریزی کنید. ما تمام هماهنگیهای لازم برای مشاوره آنلاین قبل از سفر شما را انجام خواهیم داد تا از زمان خود بهترین استفاده را ببرید.
سلام. من روزی چند نخ سیگار میکشم. آیا سیگار کشیدن مانع جراحی ایمپلنت میشه؟
سلامخانم آیلین. سیگار کشیدن موفقیت درمان ایمپلنت را کاهش میدهد اما آن را غیرممکن نمیکند. نیکوتین باعث کاهش جریان خون در لثه و استخوان شده و فرآیند بهبودی را کند میکند. ما اکیداً توصیه میکنیم که حداقل دو هفته قبل از جراحی و تا چند ماه پس از آن، مصرف سیگار را قطع کرده یا به حداقل برسانید تا شانس موفقیت درمان شما به حداکثر برسد.
سلام، برای گرفتن نوبت باید تماس تلفنی بگیریم؟ یا نوبت دهی از سایت ممکنه؟
سلام و وقت بخیر. سپاس از توجه شما.
در حال حاضر، نوبتدهی در کلینیک دکتر رئوف به صورت تلفنی انجام میشود. برای هماهنگی و دریافت نوبت مشاوره یا درمان، میتوانید در ساعات کاری با شمارههای زیر تماس بگیرید:
تلفن ثابت: ۰۴۱۳۳۸۱۱۳۵۶
تلفن همراه: ۰۹۳۸۹۹۶۰۰۷۶
ساعات کاری:
شنبه، یکشنبه، دوشنبه و چهارشنبه: از ساعت ۱۶ تا ۲۰
سهشنبه: از ساعت ۱۰ تا ۲۰
پنجشنبه: از ساعت ۱۰ تا ۱۴
منتظر تماس شما هستیم.
سلام آقای دکتر، وقت بخیر من از چندجا قیمت گرفتم و بعضی ها قیمت های متفاوتی پیشنهاد دادن، آیا ایمپلنت های ارزون کیفیت ندارن و خطرناکن؟
سلام. این یک سوال بسیار مهم است. لزوماً “خطرناک” نیستند، اما ممکن است از آلیاژهای با کیفیت پایینتر ساخته شده باشند یا پشتوانه علمی ضعیفی داشته باشند. ریسک شکست درمان و عدم جوش خوردن به استخوان در این نوع ایمپلنتها بالاتر است و ممکن است در بلندمدت هزینه بیشتری به شما تحمیل کنند.
سلام. آیا هزینه بالای ایمپلنت کامل فک رو هم میشه قسطی پرداخت کرد؟
سلام آقای آرتین عزیز. بله حتماً. ما درک میکنیم که هزینه ایمپلنت دندان در تبریز کامل فک میتواند قابل توجه باشد. به همین دلیل، ما برای این درمان نیز شرایط ایمپلنت دندان اقساطی در تبریز را فراهم کردهایم. برای اطلاع از جزئیات، میتوانید با بخش پذیرش کلینیک ما تماس بگیرید.
سلام. ممنون از مقاله خوبتون. میشه به زبان ساده بگید فرق اصلی ایمپلنت کرهای و سوئیسی چیه که اینقدر اختلاف قیمت دارن
سلام. خوشحالم که مقاله مفید بوده. تفاوت اصلی در قدمت برند، حجم تحقیقات علمی و تکنولوژی انحصاری سطح است. برندهای سوئیسی مانند اشترومن، دههها تحقیق و توسعه را پشت سر گذاشتهاند و تکنولوژی سطح آنها (مانند SLActive) فرآیند جوش خوردن به استخوان را تسریع میکند. ایمپلنتهای کرهای درجه یک، کیفیتی بسیار نزدیک به استانداردهای جهانی ارائه میدهند و برای اکثر بیماران، یک انتخاب عالی با بهترین تعادل بین هزینه و کیفیت هستند.
سلام. آیا هزینهای که برای هر واحد ایمپلنت اعلام میکنید، شامل روکش هم میشه یا باید هزینه جدا بدم؟
سلام جناب. سوال بسیار خوبی است. در مطب دکتر آریا رئوف، جراح-دندانپزشک در تبریز، ما همیشه هزینه ایمپلنت دندان را به صورت تمام شده (شامل پایه و روکش) به بیمار اعلام میکنیم تا شفافیت کامل وجود داشته باشد. اما بله، برخی مراکز ممکن است این دو هزینه را جداگانه اعلام کنند. حتماً هنگام دریافت مشاوره، این موضوع را سوال بفرمایید.
سلام دکتر. من یک دندان آسیا رو از دست دادم. به نظرتون ایمپلنت کنم یا بریج بذارم؟ کدوم بهتره؟
سلام آقای بهنام. هر دو روش مزایای خود را دارند، اما ایمپلنت یک راهکار مدرنتر و از نظر بیولوژیکی، سالمتر است. بزرگترین مزیت ایمپلنت این است که برخلاف بریج، نیازی به تراش دندانهای سالم مجاور ندارد و از تحلیل استخوان فک در ناحیه بیدندانی جلوگیری میکند. ایمپلنت یک راهکار دائمی و مستقل برای جایگزینی دندان شماست.
سلام. به من گفتن استخوان فکم ضعیفه و نمیتونم ایمپلنت کنم. آیا راهی وجود داره؟
سلام آقای فرشاد. بله، خبر خوب این است که حتی در صورت کمبود استخوان، در اکثر موارد همچنان امکان کاشت ایمپلنت وجود دارد. علم دندانپزشکی برای این مشکل، راه حلهای پیشرفتهای مانند جراحی پیوند استخوان و سینوس لیفت را ارائه میدهد. ما با این تکنیکها، ابتدا بستر استخوانی فک شما را بازسازی کرده و آن را برای یک کاشت ایمپلنت موفق و بادوام آماده میکنیم.
سلام اگه من دندون جلومو ایمپلنت کنم ، چند ماه باید جای خالیشو تحمل کنم ؟
سلام. خیر، شما هرگز ظاهر بیدندانی را تجربه نخواهید کرد. در مواردی که شرایط استخوان ایدهآل باشد، میتوان از ایمپلنت فوری در تبریز استفاده کرد. حتی در موارد عادی نیز، ما بلافاصله پس از جراحی، یک روکش موقت زیبا برای شما میسازیم تا در طول دوره بهبودی، هم زیبایی و هم عملکرد دندان شما حفظ شود.
آیا امکان انجام ایمپلنت دندان اقساطی در تبریز در کلینیک شما وجود دارد؟
بله، ما درک میکنیم که هزینههای دندانپزشکی میتواند چالشبرانگیز باشد. به همین دلیل، شرایط ویژهای برای ایمپلنت قسطی در تبریز فراهم کردهایم تا همه عزیزان بتوانند از درمان باکیفیت بهرهمند شوند.
آیا ایمپلنت قسطی در تبریز شامل همه برندهای ایمپلنت (کرهای، سوئیسی) میشود؟
بله، ما تلاش میکنیم تا شرایط پرداخت هزینه ایمپلنت را برای اکثر طرحهای درمانی، صرف نظر از برند انتخابی شما، اعمال کنیم تا بتوانید بهترین گزینه را انتخاب نمایید.
تفاوت اصلی یک “متخصص ایمپلنت در تبریز” با یک دندانپزشک عمومی چیست؟
یک متخصص ایمپلنت (مانند پریودنتیست یا جراح فک و صورت) دورههای تخصصی چند ساله را صرفاً در زمینه جراحیهای لثه و کاشت ایمپلنت گذرانده است و برای مدیریت کیسهای پیچیده، پیوند استخوان و دستیابی به بهترین نتیجه، مهارت و تجربه بسیار بالاتری دارد.
برای انتخاب بهترین دکتر ارتودنسی در تبریز چه معیارهایی را در نظر بگیرم؟
برای یافتن بهترین دکتر ایمپلنت در تبریز، به مواردی چون تخصص رسمی (جراح لثه یا فک و صورت)، مشاهده نمونهکارهای واقعی بیمار، استفاده از تکنولوژیهای روز (مانند جراحی دیجیتال) و رضایت بیماران قبلی توجه فرمایید.
شرایط پرداخت برای کاشت دندان اقساطی در تبریز چگونه است؟
شرایط پرداخت ما منعطف است. معمولاً پس از دریافت یک بخش به عنوان پیشپرداخت، مابقی هزینه ایمپلنت دندان در تبریز طی چند قسط ماهانه (متناسب با طرح درمان) قابل پرداخت است. برای اطلاع دقیق از شرایط، نیاز به مشاوره حضوری است.
هزینه مشاوره اولیه برای ایمپلنت دندان در کلینیک شما در تبریز چقدر است؟
اولین جلسه مشاوره برای ارزیابی دقیق شرایط شما، بررسی عکسهای رادیوگرافی و ارائه طرح درمان برای کاشت دندان در تبریز در کلینیک ما رایگان است.
آیا تمام مراحل ایمپلنت توسط شخص دکتر رئوف به عنوان “جراح ایمپلنت در تبریز” انجام میشود؟
بله، در مطب ما، تمام مراحل حساس جراحی و کاشت ایمپلنت مستقیماً توسط خود دکتر آریا رئوف انجام میشود تا از بالاترین استاندارد کیفیت و موفقیت درمان اطمینان حاصل شود.
آیا برای کاشت دندان در تبریز در مطب شما، از بیهوشی کامل استفاده میشود؟
خیر، جراحی ایمپلنت یک فرآیند کاملاً بدون درد است و با بیحسی موضعی قوی (مشابه عصبکشی) انجام میشود. بیمار در طول درمان کاملاً بیدار و راحت است. البته امکان استفاده از آرامبخشی (Sedation) برای بیماران بسیار مضطرب وجود دارد.
آیا “ایمپلنت یک روزه در تبریز” به معنای دریافت دندان دائمی در همان روز است؟
خیر. در روش ایمپلنت فوری، پایه ایمپلنت و یک روکش موقت زیبا در همان روز جراحی نصب میشود تا شما هرگز بیدندان نباشید. اما روکش دائمی و نهایی، پس از ۳ تا ۴ ماه و اطمینان از جوش خوردن کامل ایمپلنت با استخوان، ساخته و نصب میگردد.
چه چیزی کلینیک شما را به گزینهای برای “بهترین ایمپلنت تبریز” تبدیل کرده است؟
ما معتقدیم بهترین ایمپلنت تبریز حاصل ترکیب سه عامل است: ۱. تخصص و مهارت بالای جراح ایمپلنت (دکتر رئوف) ۲. استفاده از برترین برندهای ایمپلنت روز دنیا (سوئیسی و کرهای درجه یک) ۳. بهرهگیری از تکنولوژیهای مدرن مانند ایمپلنت دیجیتال برای جراحی دقیق و بدون درد.
تفاوت هزینه ایمپلنت فوری با ایمپلنت معمولی در تبریز چقدر است؟
هزینه ایمپلنت یک روزه در تبریز ممکن است به دلیل پیچیدگی بیشتر فرآیند و نیاز به تجهیزات خاص و روکش موقت فوری، کمی بالاتر از ایمپلنتهای معمولی باشد.
آیا من کاندید مناسبی برای ایمپلنت فوری در تبریز هستم؟
ایمپلنت فوری یا ایمپلنت یک روزه در تبریز نیازمند شرایط خاصی است. مهمترین شرط، داشتن تراکم استخوان کافی در محل کشیدن دندان و عدم وجود عفونت فعال است. تشخیص نهایی این موضوع تنها پس از معاینه و بررسی عکس سهبعدی فک (CBCT) امکانپذیر است.
آیا “بهترین دندانپزشک برای ایمپلنت در تبریز” لزوماً گرانترین خدمات را ارائه میدهد؟
لزوماً خیر. بهترین دندانپزشک برای ایمپلنت بر روی “ارزش” تمرکز میکند، نه “قیمت”. این ارزش یعنی استفاده از بهترین متریال و صرف زمان کافی توسط متخصص برای دستیابی به درمانی ماندگار و بینقص، که در بلندمدت از درمانهای ارزان و بیکیفیت، بسیار اقتصادیتر خواهد بود.
من ساکن تبریز نیستم. آیا میتوانم مراحل کاشت دندان در تبریز را به صورت فشرده انجام دهم؟
بله، ما بیماران زیادی از سایر شهرها داریم. با هماهنگی قبلی، میتوانیم برنامهریزی دقیقی انجام دهیم تا مراحل جراحی و قالبگیری در کوتاهترین زمان ممکن و با حداقل تعداد رفت و آمد برای شما انجام شود.
آیا ایمپلنتهای شما گارانتی دارند؟
بله، تمام برندهای معتبری که ما (به عنوان یکی از مراکز مدعی بهترین ایمپلنت تبریز) استفاده میکنیم، دارای گارانتیهای بلندمدت و حتی مادامالعمر از سوی شرکت سازنده هستند که کارت گارانتی آن به بیمار تحویل داده میشود.
اگر استخوان فک کافی نداشته باشم، آیا امکان کاشت دندان در تبریز وجود ندارد؟
خیر اینطور نیست. متخصص ایمپلنت در تبریز (دکتر آریا رئوف) با استفاده از جراحیهای پیشرفتهای مانند پیوند استخوان (Bone Graft) یا سینوس لیفت (برای فک بالا)، ابتدا استخوان فک شما را بازسازی و آماده کرده و سپس ایمپلنت را با موفقیت در آن قرار میدهند.
من قبلاً در مرکز دیگری ایمپلنت کاشتهام که شکست خورده، آیا شما “ترمیم” یا “تعویض” ایمپلنت هم انجام میدهید؟
بله، یکی از خدمات تخصصی ما در تبریز، مدیریت و درمان ایمپلنتهای شکستخورده یا دچار عفونت است. پس از بررسی دقیق، جراح ایمپلنت در تبریز، بهترین راهحل را برای خارج کردن ایمپلنت قبلی و جایگزینی آن با یک ایمپلنت جدید و باکیفیت به شما ارائه خواهد داد.
من قبلا درمرکزی دیگردرتبربز ایمپلنت کاشته ام که ناراضی ام ایا شما خدمات ترمیم یا تعویض ایمپلنت هم انجام میدین؟
بله، یکی از خدمات تخصصی ما در تبریز، مدیریت و درمان ایمپلنتهای شکستخورده یا دچار عفونت است. پس از بررسی دقیق، جراح ایمپلنت در تبریز (دکتر آریا رئوف)، بهترین راهحل را برای خارج کردن ایمپلنت قبلی و جایگزینی آن با یک ایمپلنت جدید و باکیفیت به شما ارائه خواهد داد.
چه تفاوتی بین ایمپلنت دیجیتال و ایمپلنت سنتی وجود دارد؟
در ایمپلنت دیجیتال که ما در کلینیک تبریز از آن بهره میبریم، کل فرآیند جراحی ابتدا در کامپیوتر شبیهسازی میشود. این کار باعث میشود کاشت دندان با دقتی میلیمتری، کمترین برش لثه و در نتیجه درد و تورم بسیار کمتر انجام شود.
آیا هزینه ایمپلنت کامل فک بالا و پایین به صورت اقساطی در تبریز امکانپذیر است؟
بله، قطعاً. اتفاقاً با توجه به اینکه هزینه ایمپلنت کامل فک (All-on-4) بیشتر است، استفاده از شرایط کاشت دندان اقساطی در تبریز برای این طرح درمانی بسیار رایج و منطقی است.
چرا باید برای ایمپلنت دندان در تبریز به جای شهرهای دیگر، کلینیک شما را انتخاب کنم؟
گذشته از تخصص و کیفیت، درمان ایمپلنت نیاز به مراجعات و مراقبتهای دورهای دارد. انجام درمان در شهر خودتان (تبریز) باعث میشود شما به راحتی به متخصص ایمپلنت خود دسترسی داشته باشید، در هزینههای رفت و آمد صرفهجویی کنید و از پشتیبانی و مراقبتهای پس از درمان به بهترین شکل بهرهمند شوید.
آیا هزینه ایمپلنت کامل فک بالا و پایین به صورت اقساطی در تبریز امکانپذیر است؟
بله، قطعاً. اتفاقاً با توجه به اینکه هزینه ایمپلنت کامل فک (All-on-4) بیشتر است، استفاده از شرایط کاشت دندان اقساطی در تبریز برای این طرح درمانی بسیار رایج و منطقی است.
سلام وقت بخیر. من دنبال ایمپلنت اقساطی در تبریز میگردم. حقیقتش پرداخت یکجا برام سخته. آیا امکانش هست با چک صیادی پرداخت کنم؟ و اینکه آیا سود هم میکشید رو اقساط؟
سلام آقا سعید. بله کاملاً درک میکنیم. ما شرایط کاشت دندان اقساطی در تبریز رو دقیقاً برای رفاه شما عزیزان گذاشتیم. پرداخت با چک صیادی امکانپذیره و سعی کردیم شرایط رو طوری تنظیم کنیم که کمترین فشار مالی رو داشته باشید. با منشی هماهنگ کنید.